電話でのご予約

0596-26-0888

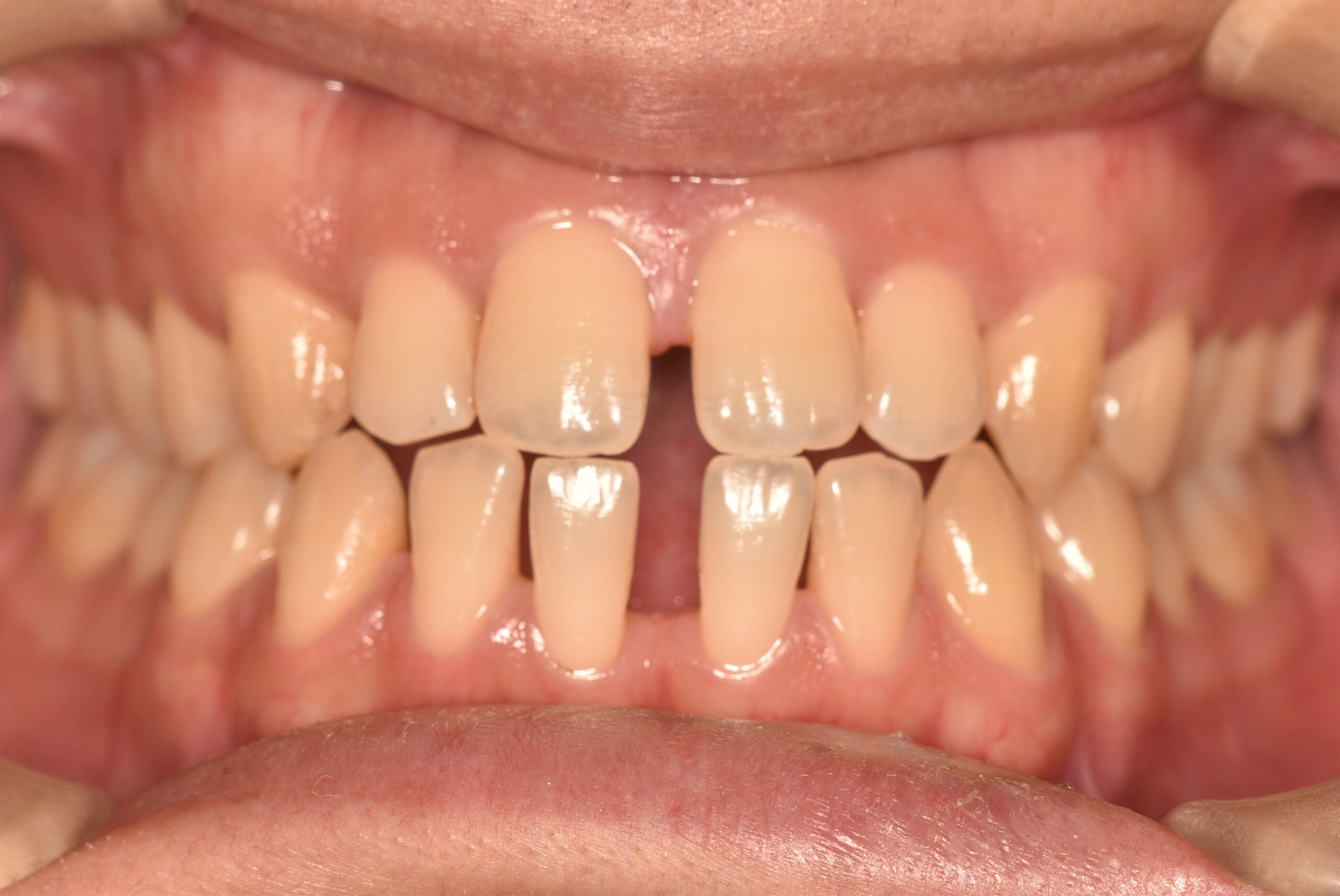
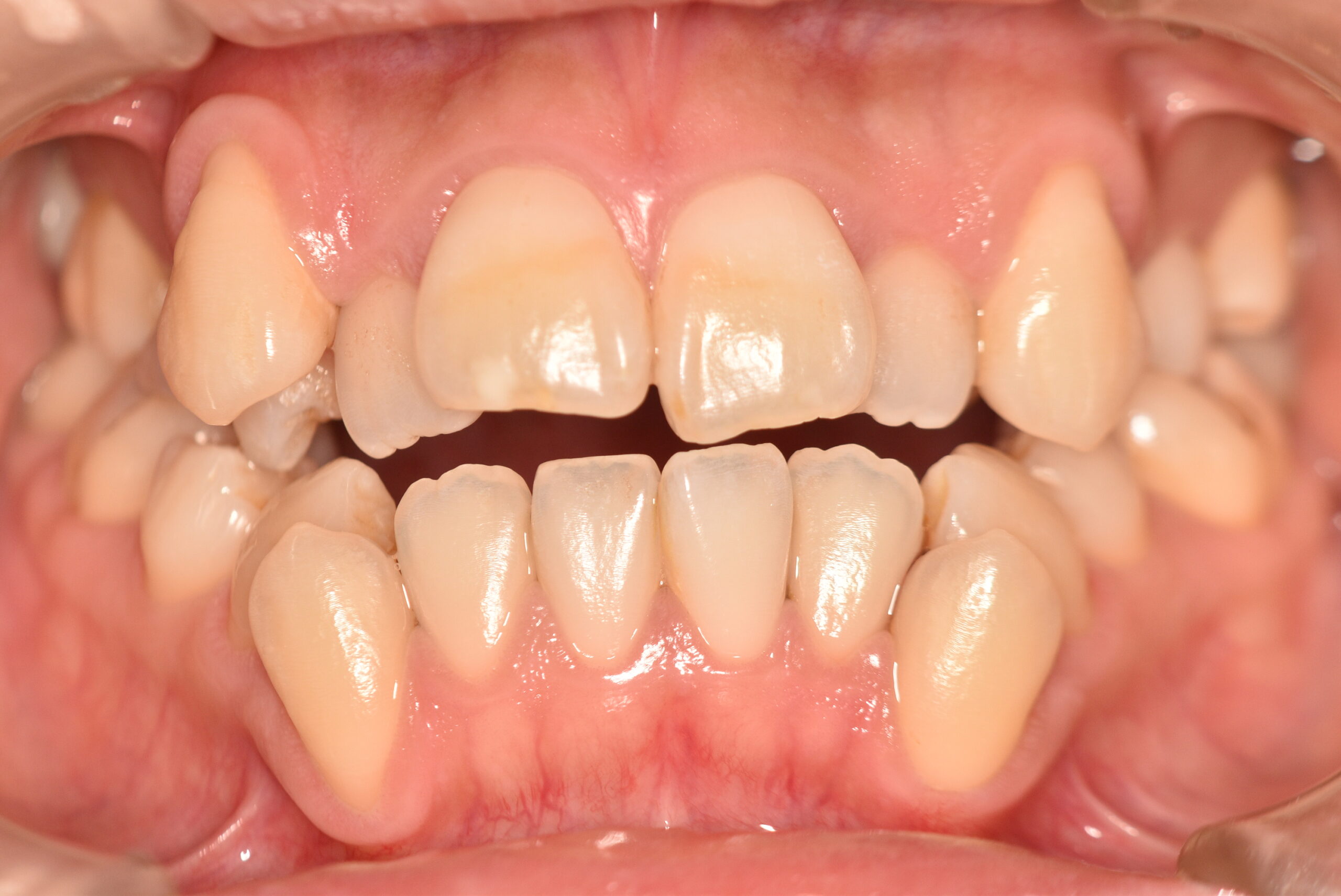
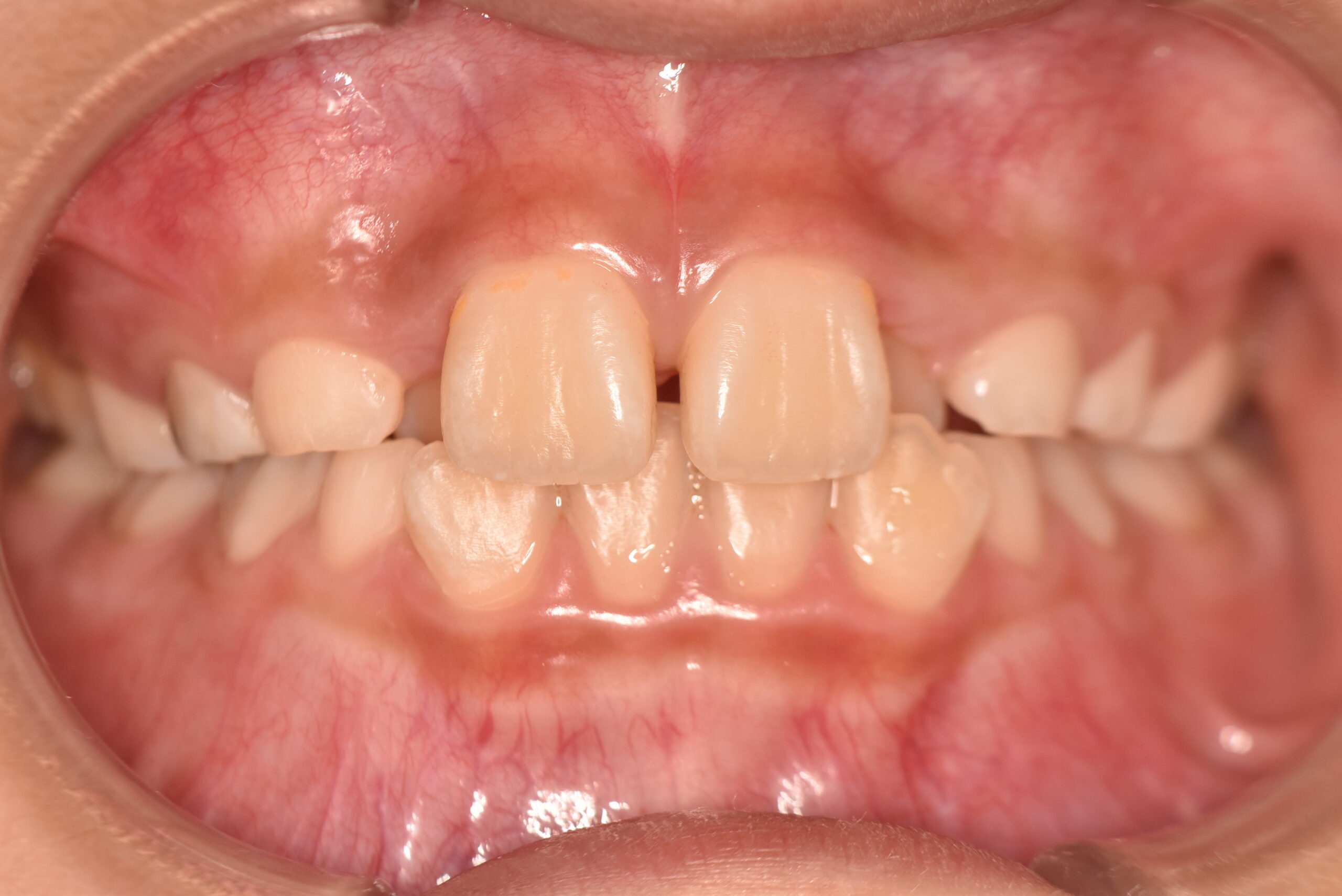
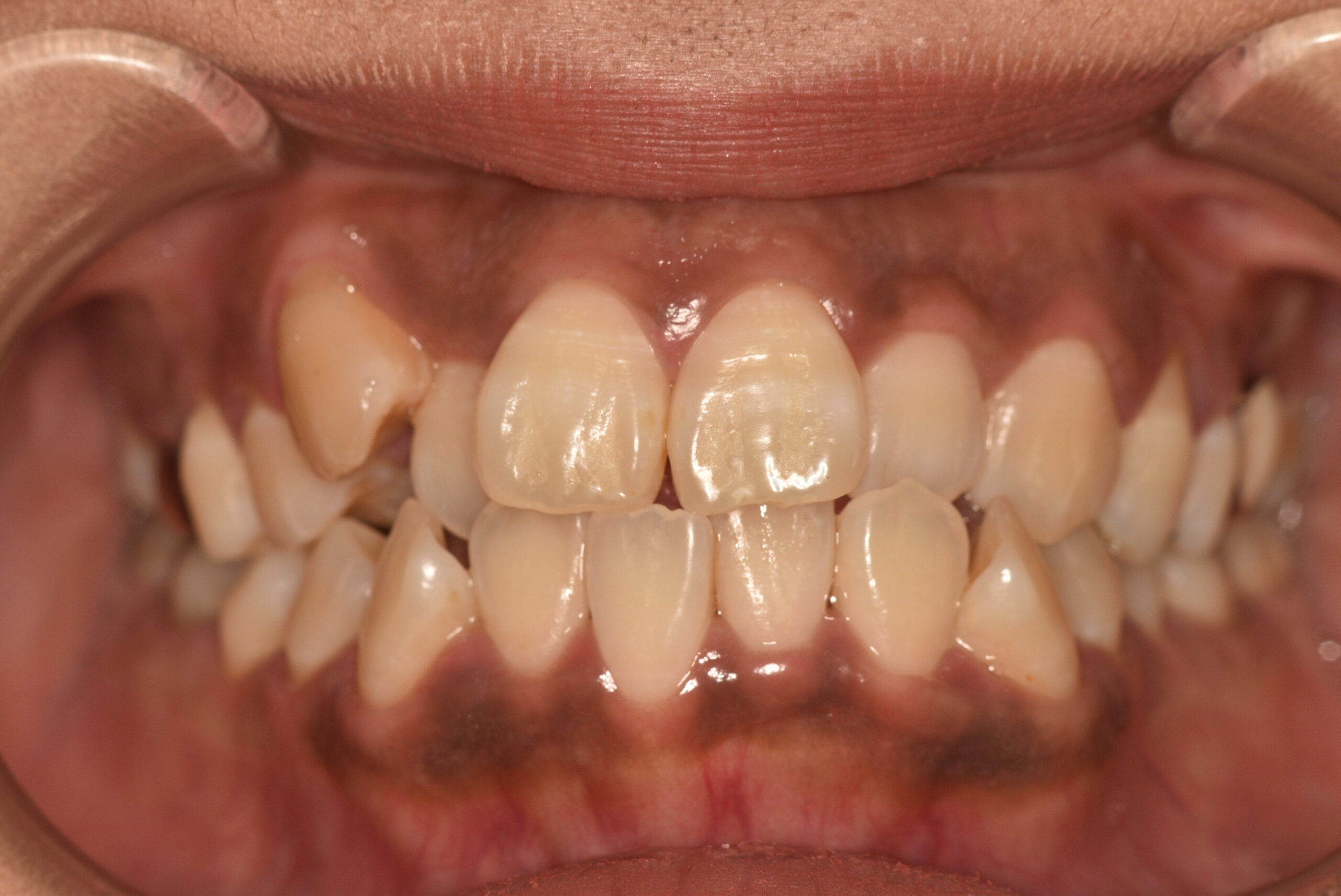
治療例CASE

当院での治療について

治療に伴う一般的な
リスクや副作用について

患者さんには以下の矯正治療に伴うリスクや
副作用を説明し、ご理解の上で治療を行いました。

  • むし歯や歯周病
  • 歯の後戻り(歯ならびが元の位置へ戻ろうとすること)
  • 歯肉の退縮(歯ぐきがさがること)
  • 歯の失活(歯の神経が死んでしまうこと)
  • 歯根吸収(歯の根が短くなること)
  • 顎関節症 など

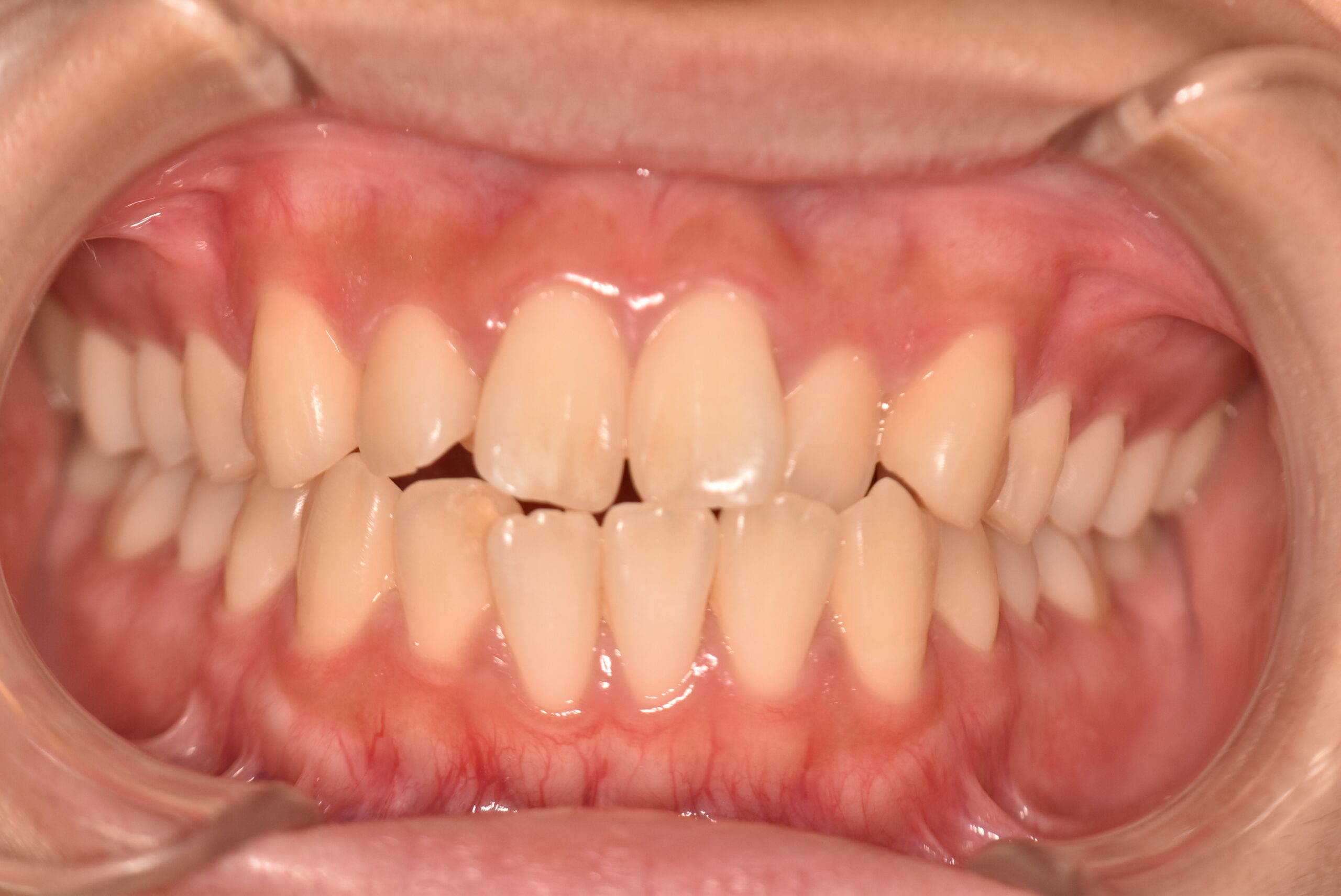
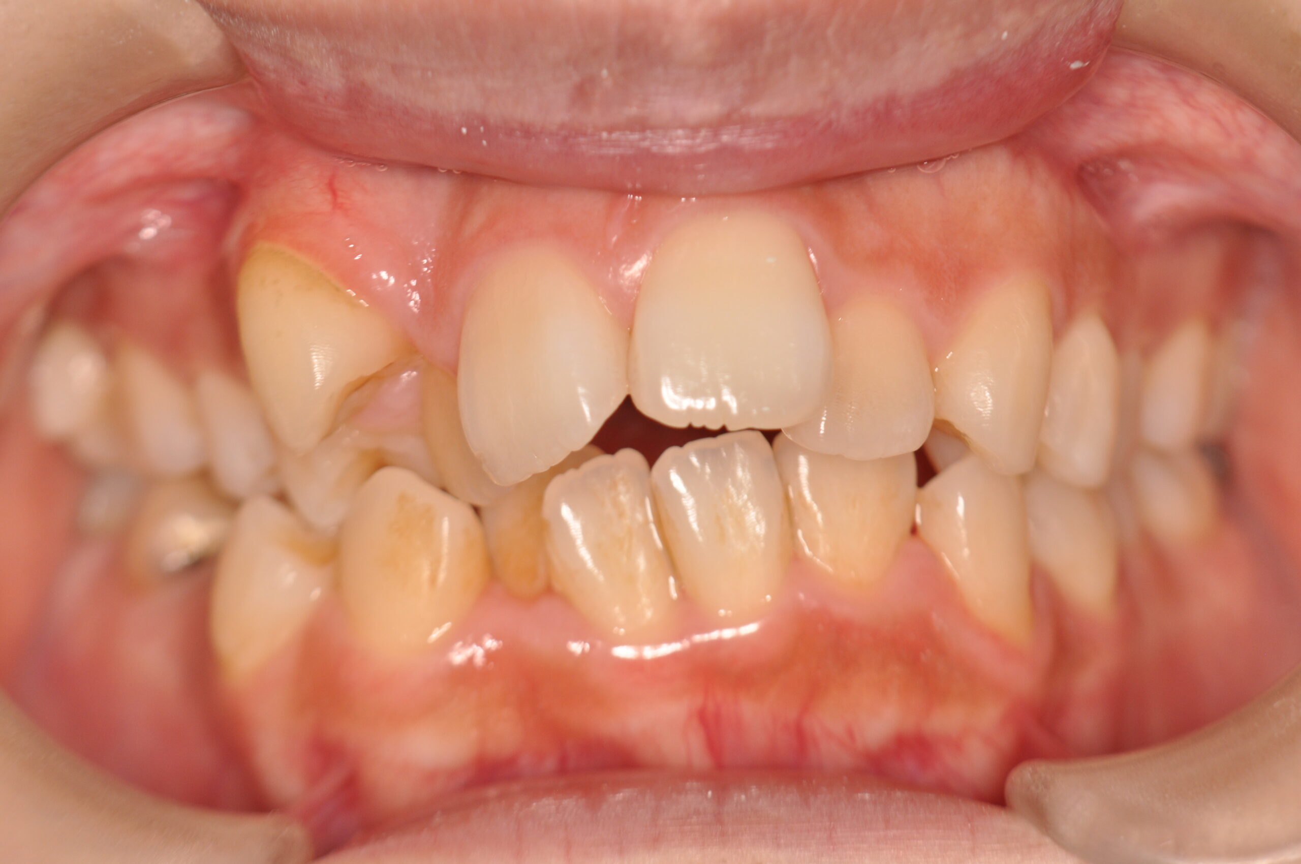
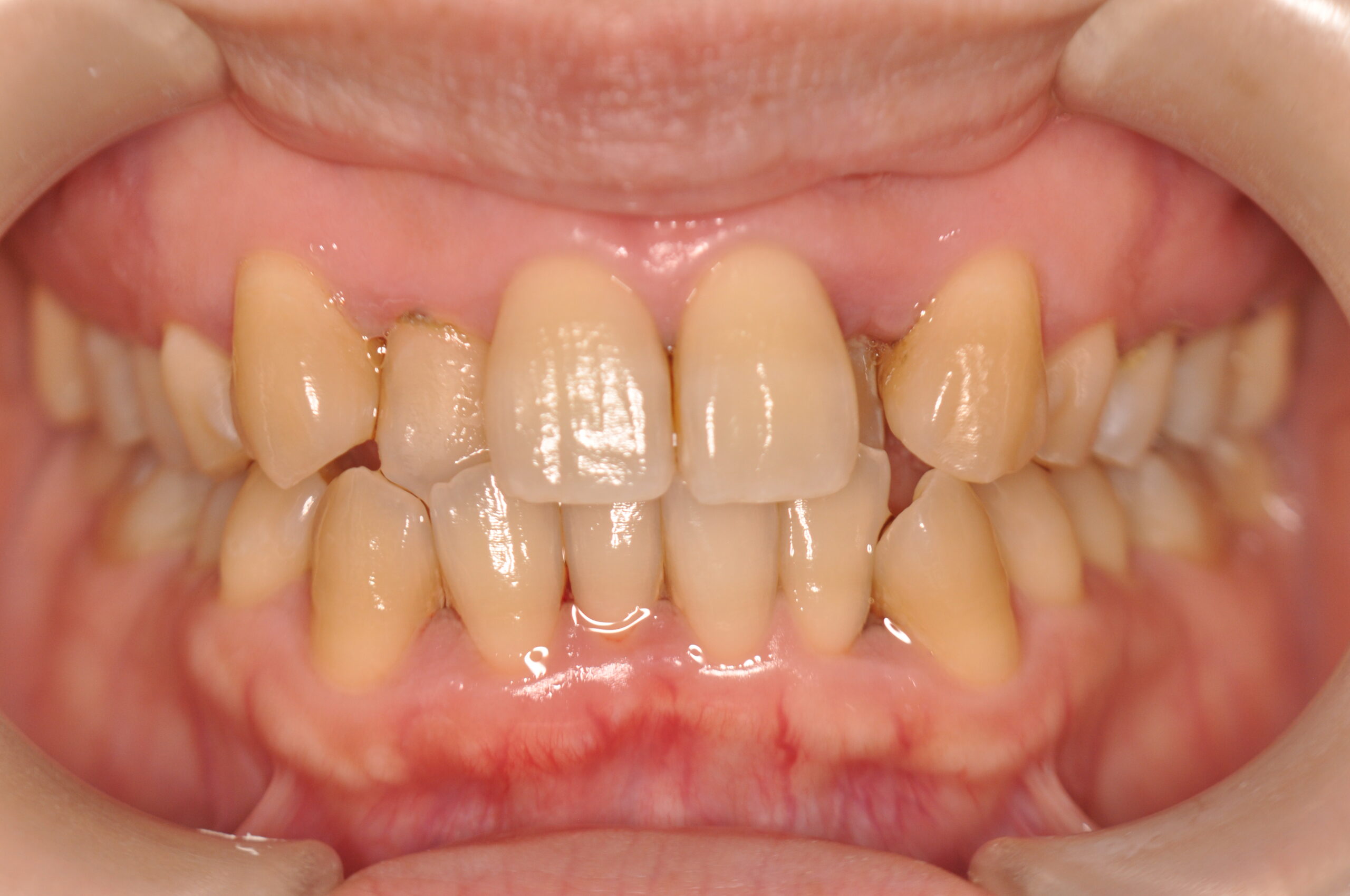
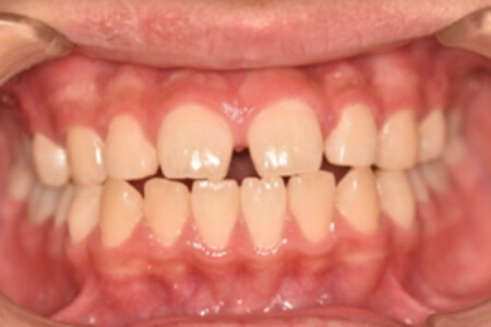
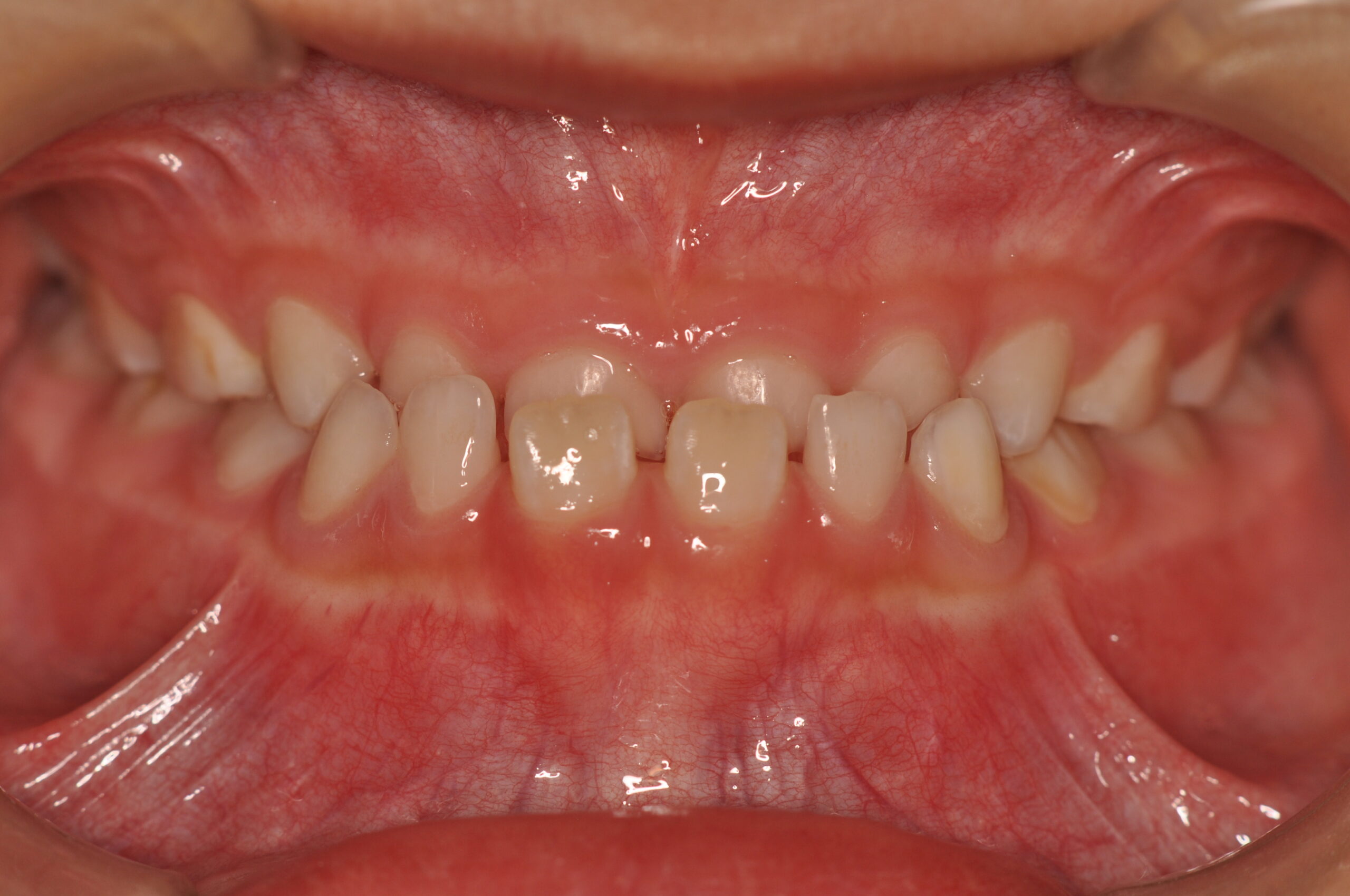
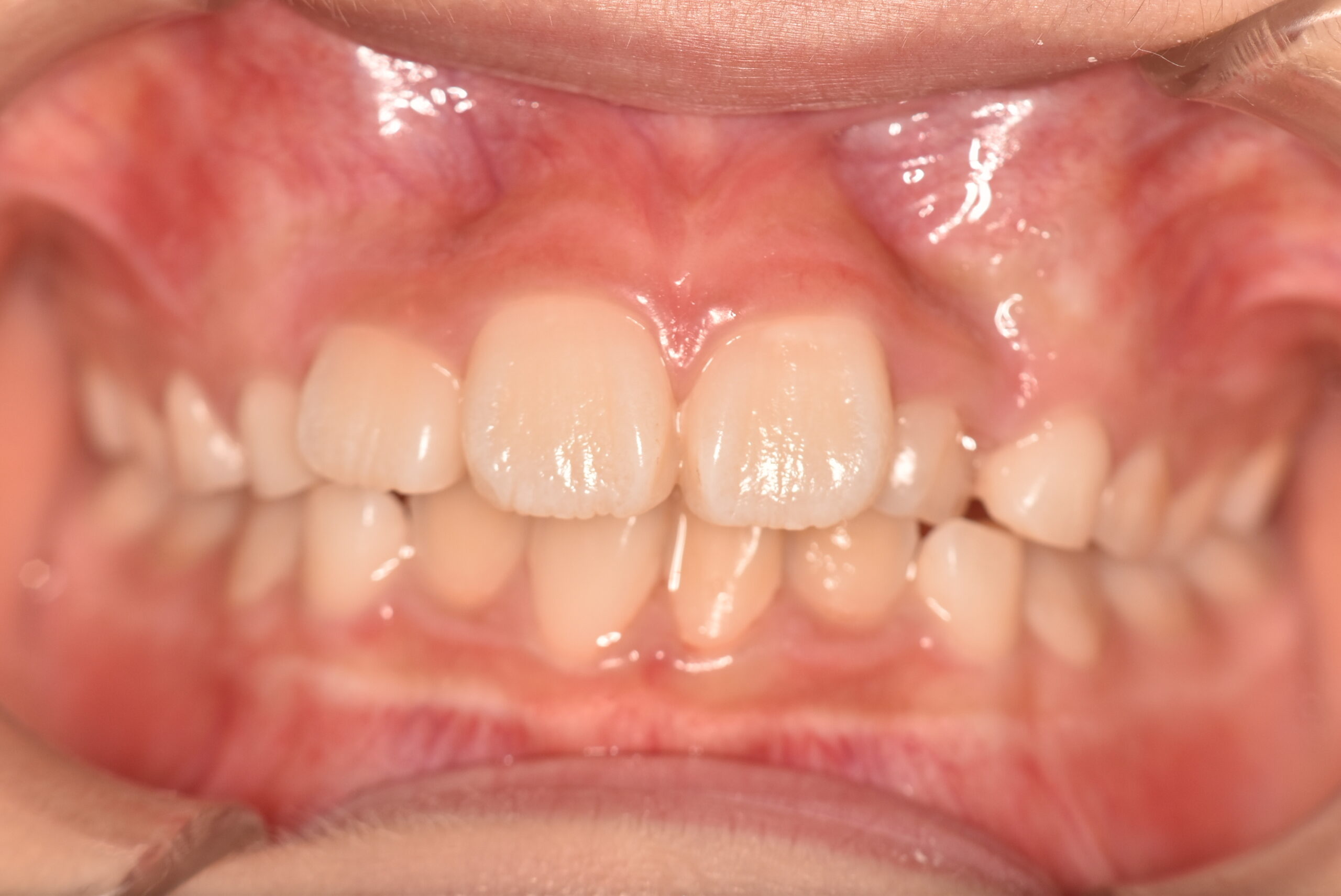
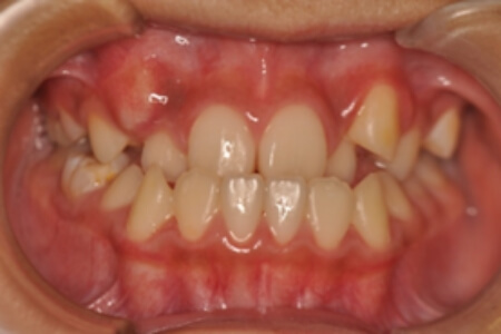
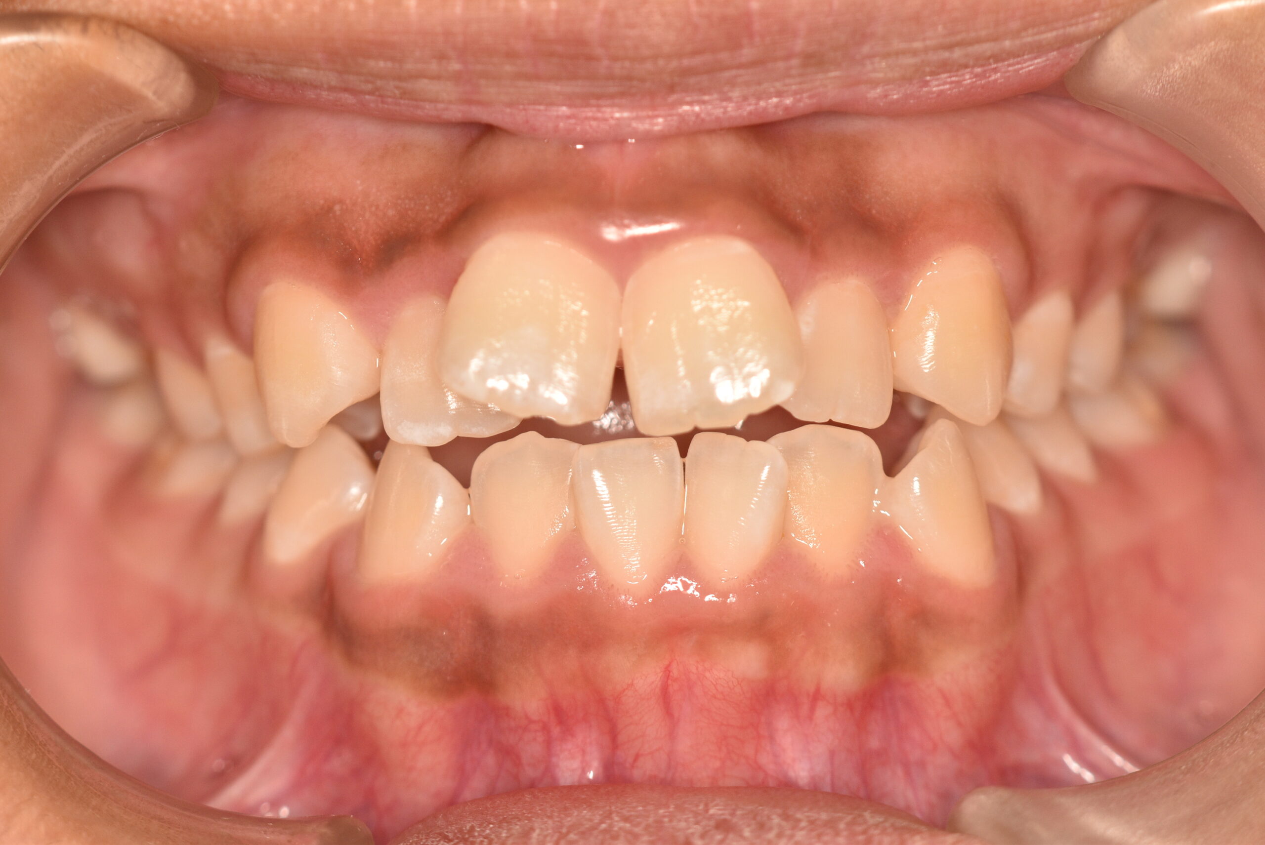
当院での治療例

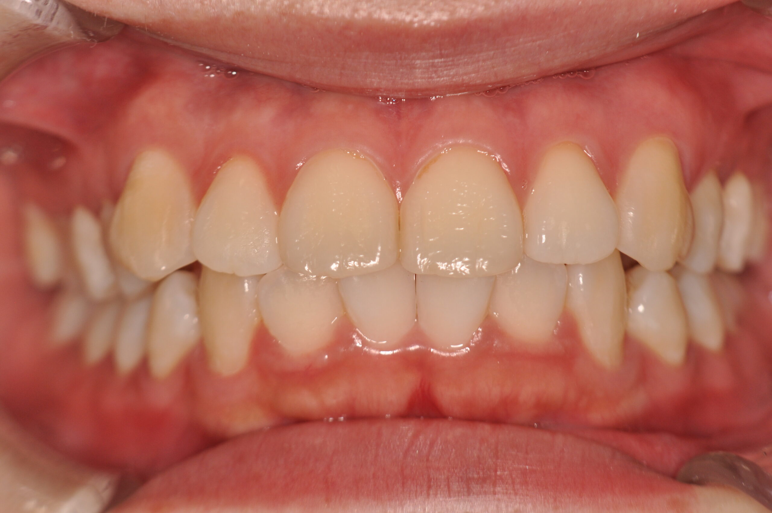
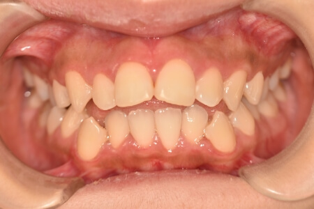
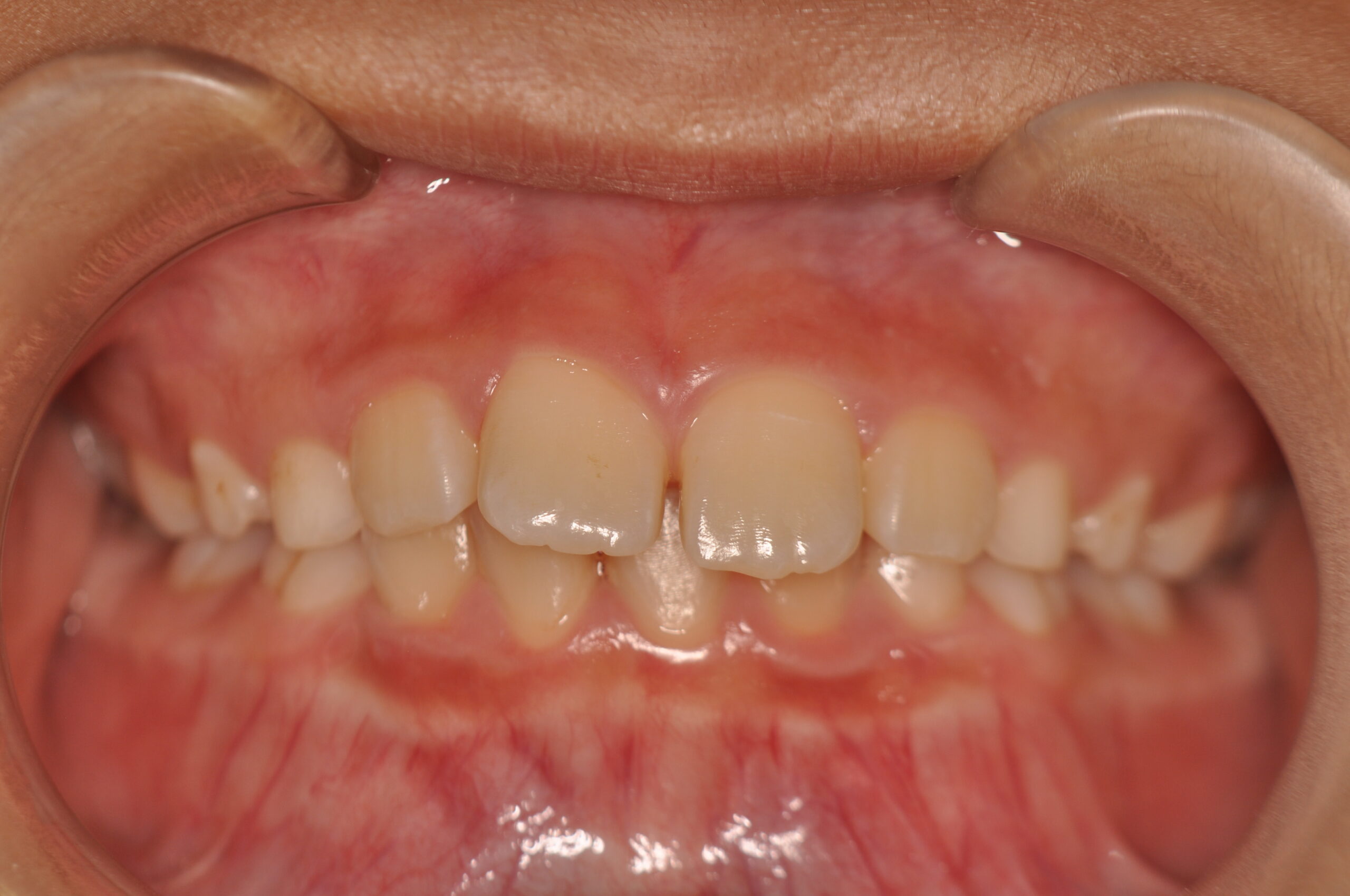
八重歯・でこぼこ(叢生)

全てみる

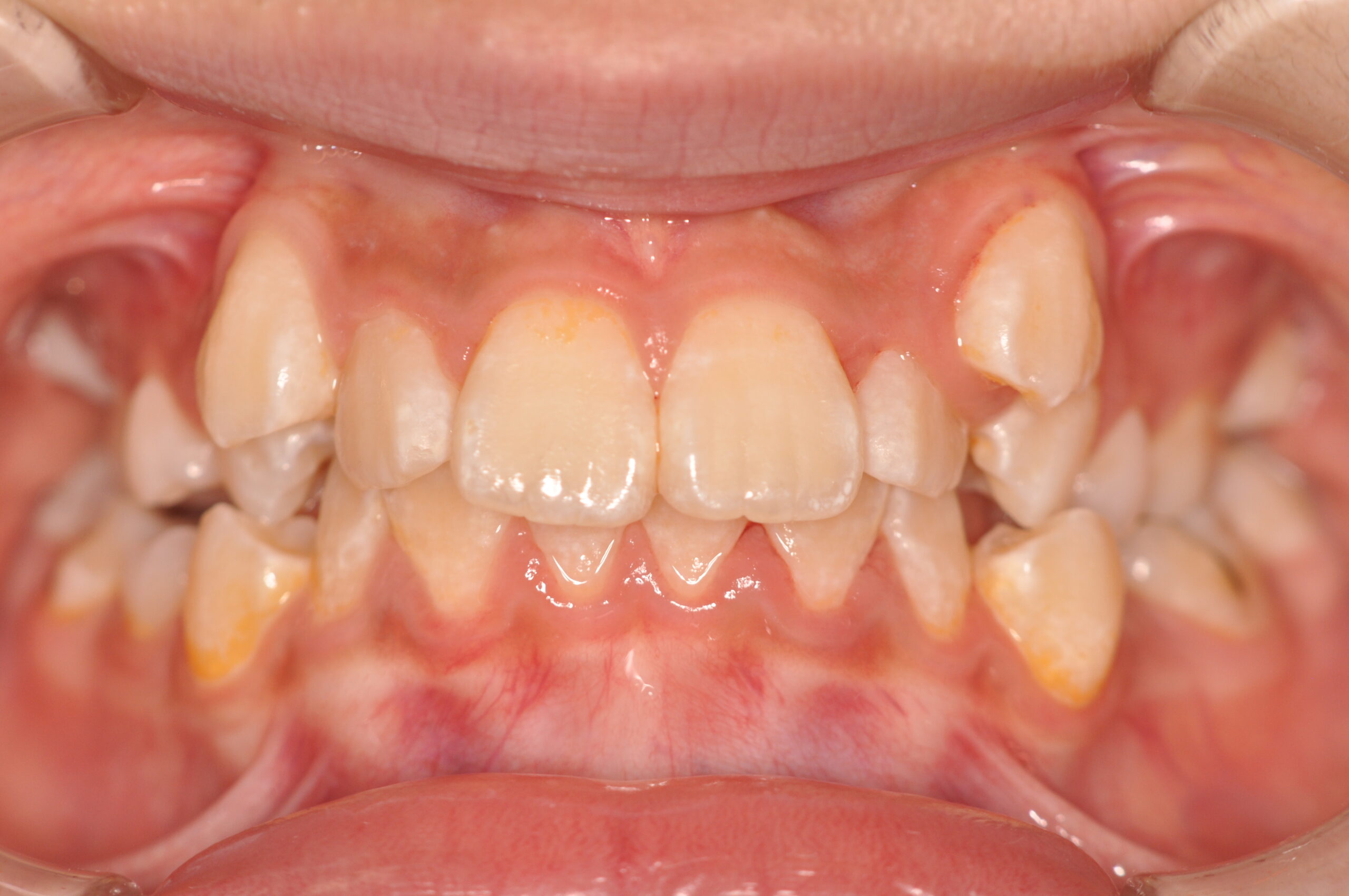
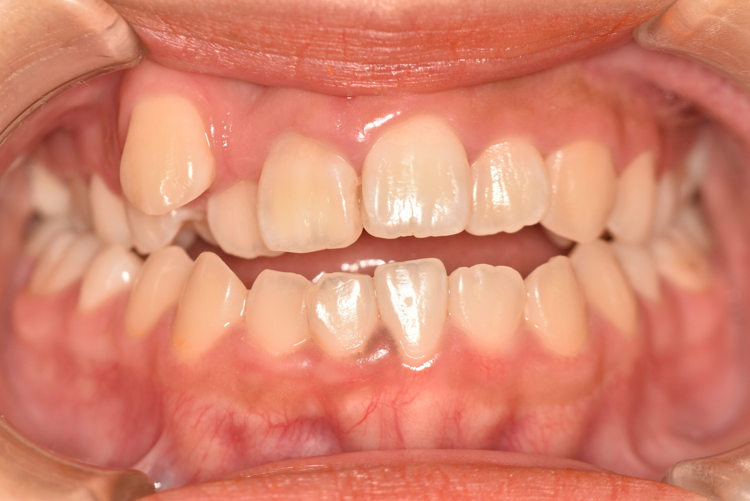
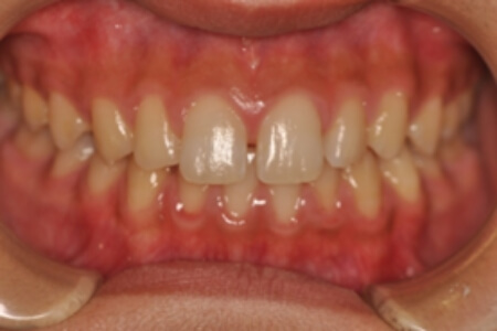
でっ歯(上顎前突)

全てみる

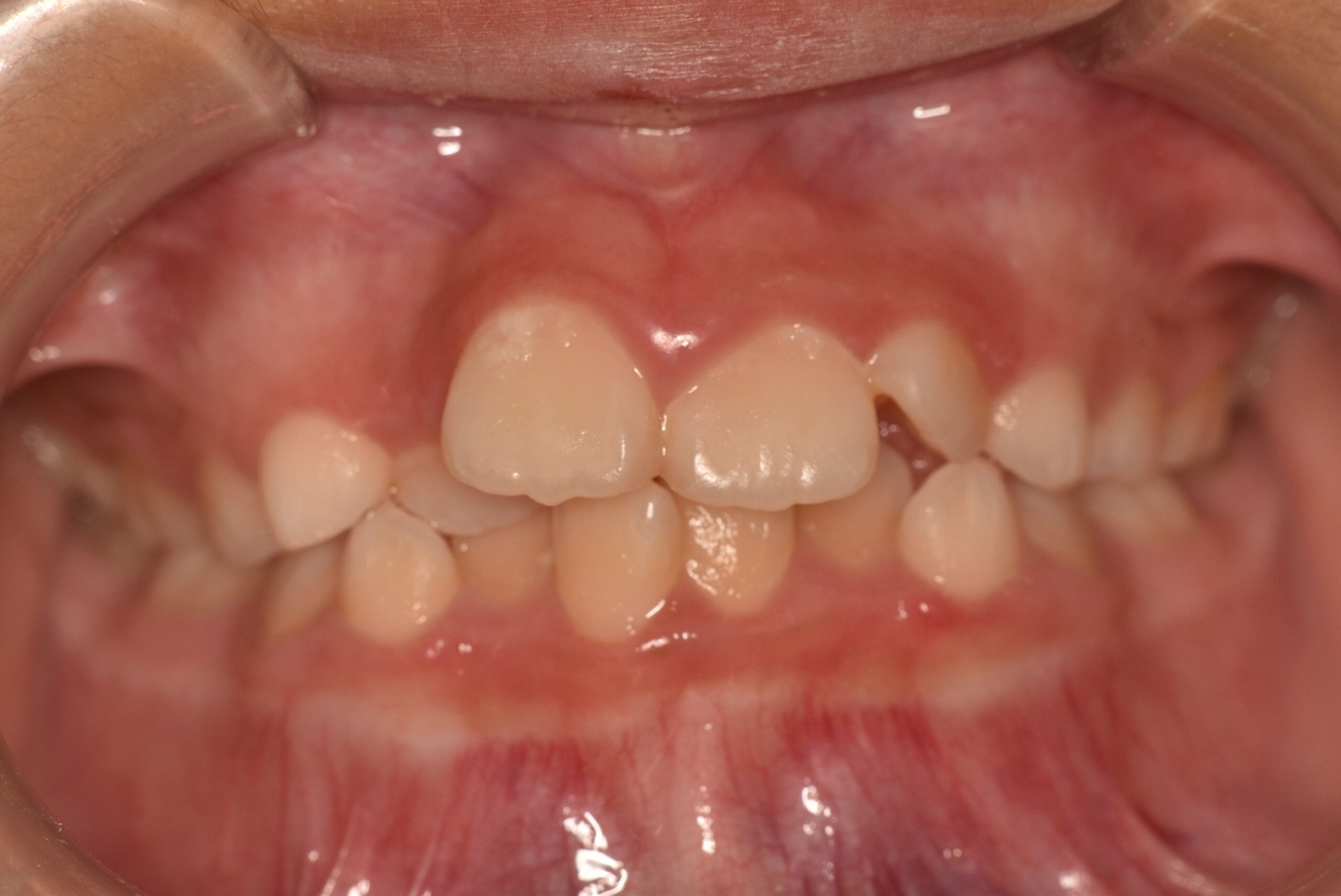
受け口

全てみる

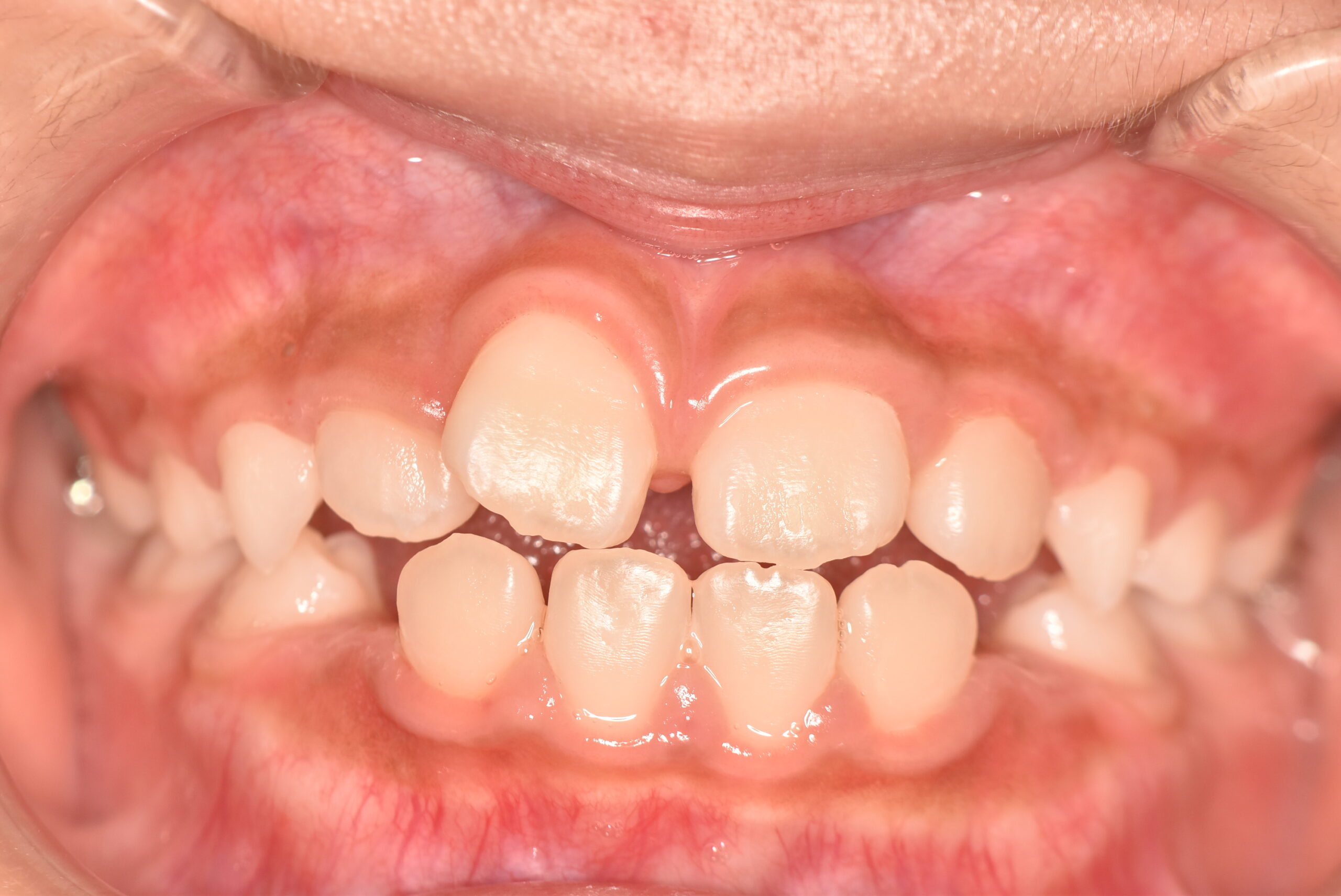
開咬

全てみる

すきっ歯・正中隔離

全てみる

インビザラインファースト

全てみる

インビザライン

全てみる

top

初診相談の予約
MAILでのお問合わせ