電話でのご予約

0596-26-0888

治療例CASE

上顎前突・叢生(抜歯)[2555]

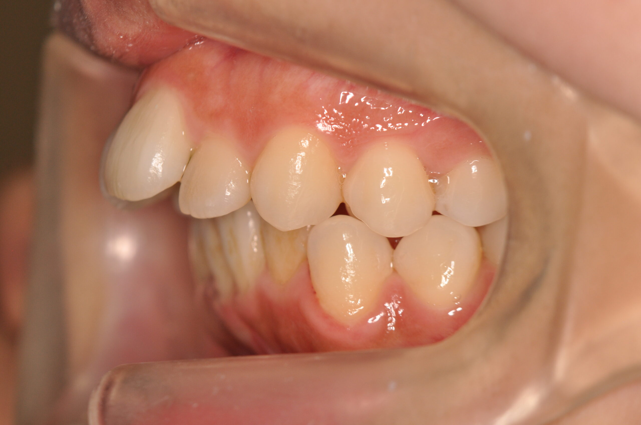
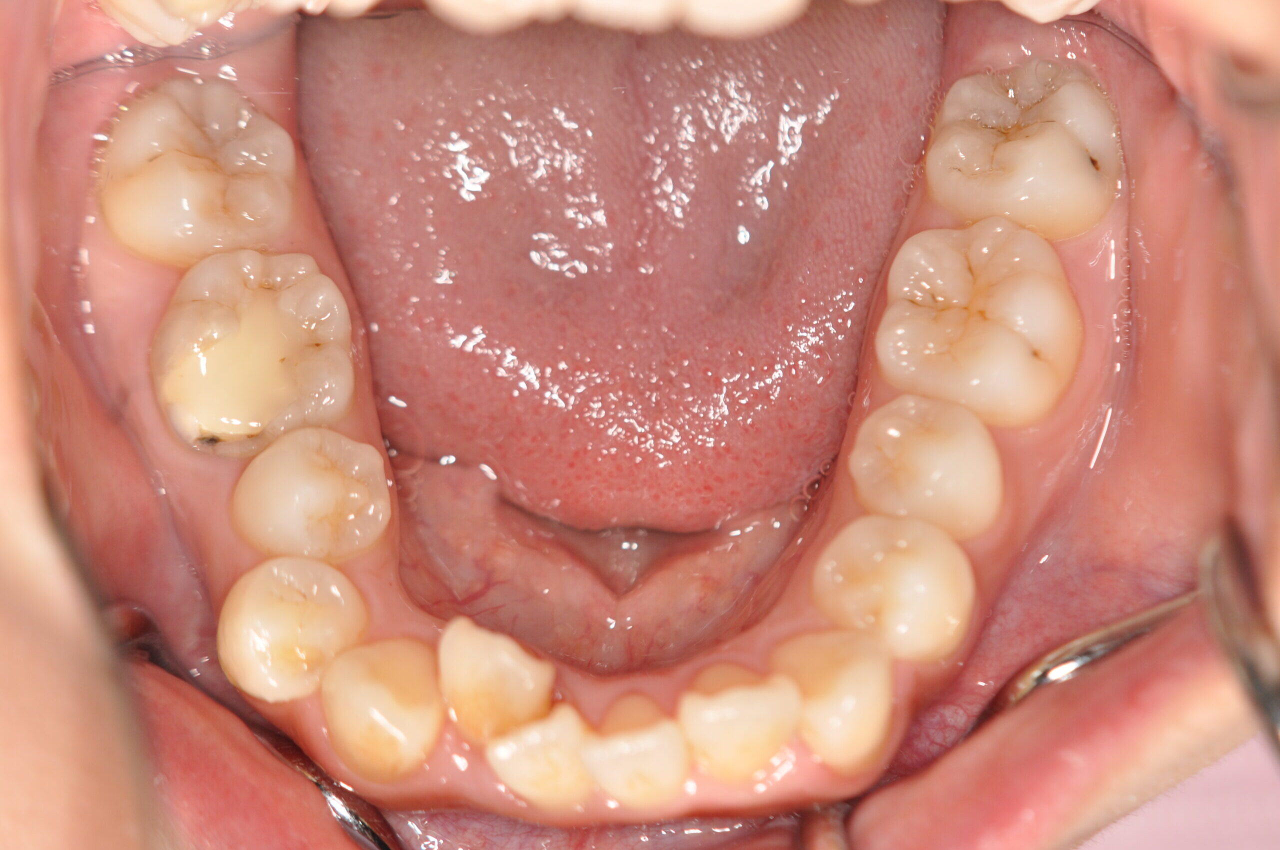
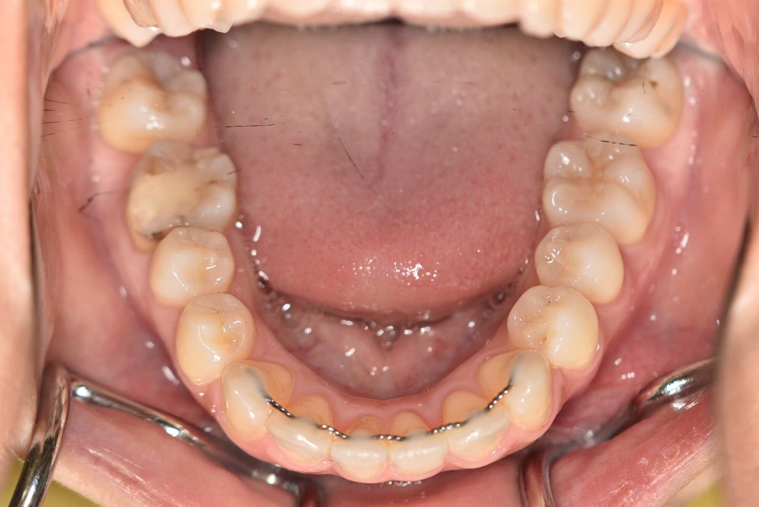
初診時

症例 症例 症例 症例

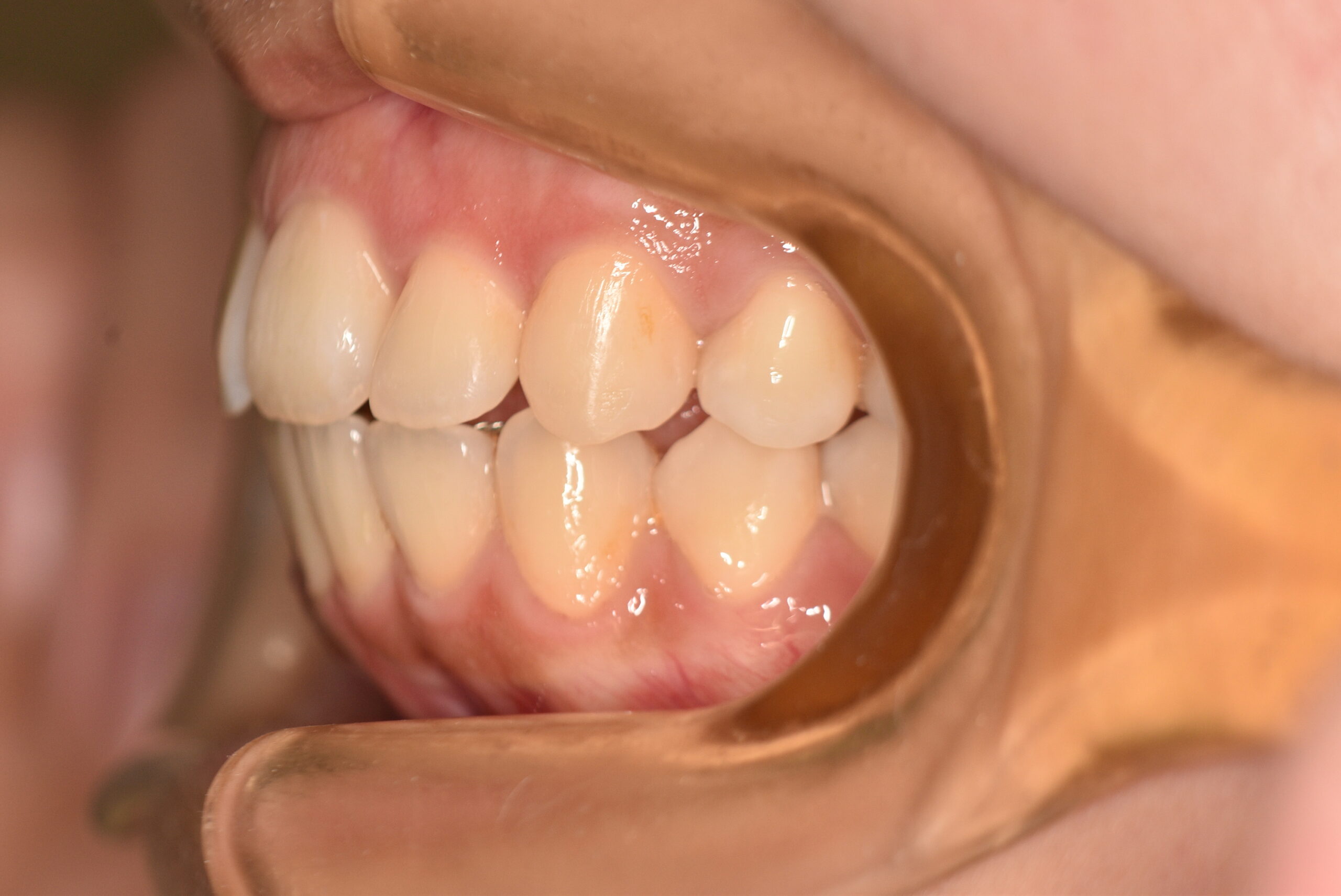
動的治療終了時

症例 症例 症例 症例
初診時
年齢
20歳5ヶ月 性 別 女性
治療期間 2年11ヶ月 費 用 矯正施術料:1,000,000円 調整料:4,000円/月
治療内容の詳細 初診時20歳の女性で、前歯が出ていて常に口が開いてしまうことを気にされ来院されました。
検査の結果、上顎前突及び上下顎前歯部叢生を伴うアングルⅡ級1類不正咬合と診断しました。
治療としては、上顎左右第1小臼歯を抜歯し、セルフライゲーションブラケット装置(デーモンシステム)で歯の配列を行いました。
同時に顎間ゴムにて咬合関係の改善を行いました。
この際、上顎に歯科矯正用アンカースクリューを設置し上顎前歯部後退時の土台としました。
治療期間は、2年11ヶ月でした。

治療に伴う一般的な
リスクや副作用について

患者さんには以下の矯正治療に伴うリスクや
副作用を説明し、ご理解の上で治療を行いました。

  • むし歯や歯周病
  • 歯の後戻り(歯ならびが元の位置へ戻ろうとすること)
  • 歯肉の退縮(歯ぐきがさがること)
  • 歯の失活(歯の神経が死んでしまうこと)
  • 歯根吸収(歯の根が短くなること)
  • 顎関節症 など

top

初診相談の予約
MAILでのお問合わせ