電話でのご予約

0596-26-0888

自分の笑顔が
好きになる。

You will like your own smile.

伊勢市のきくち矯正歯科で
安心して矯正治療を
受けていただくために

きくち矯正歯科は伊勢市で1997年開業以来、
大勢の方に歯列矯正を施術してまいりました。
豊富な経験と日本矯正歯科学会認定医による高い専門性、技術をもとに
治療内容、治療期間、費用など患者様の不安や悩みに寄り添い、
一人ひとりに合った矯正治療をご提案いたします。
矯正治療に関して不安な点がございましたら、矯正初診相談をご利用下さい。



               

きくち矯正歯科3つの特徴

伊勢市の矯正歯科きくち矯正歯科には、
3つの特徴があります。

  • 1.患者に寄り添い事前のヒアリングを重視します。
  • 2.治療方針と費用に納得していただいてから治療を行います。
  • 3.苦痛・不安の少ない矯正治療を心がけています。
01 きくち矯正歯科 カウンセリング

幅広い矯正治療をご提案

ヒアリングを元に見た目や発音など患者さんの悩みや、患者様のご要望に応じて様々な矯正治療をご提案いたします。この際に現段階のお口の状態を確認させていただきます。

02 きくち矯正歯科 カウンセリング

インフォームドコンセントを
第一に心がけています

きくち矯正歯科では治療の透明性と信頼性を高めるためインフォームドコンセントを徹底していますので、矯正治療においては最初にお伝えした以外の治療費をいただくことはありません。また、料金の「見える化」 に努めています。医療費控除についての詳細は「詳しくみる」の中をご覧ください。

03 きくち矯正歯科 カウンセリング

痛みや不安の少ない治療

きくち矯正歯科では患者さんの不安を払拭するために精神的な負担や日常生活への影響、痛みの少ない矯正治療を心がけています。治療内容をより理解して戴くために3D画像(iTero)でお口の中を再現し、また、レントゲンのみならず歯科用CTを用いた説明を行っています。器機器材の滅菌消毒においても外科手術並みのレベルで行っております。

ライフスタイルに合わせた矯正

伊勢市のきくち矯正歯科では、患者さんのライフスタイルに合わせた矯正治療をご提案します。インビザラインによる矯正を行っているので、成人式や結婚式といった大事なイベント中に目立ちたくない方のための矯正治療が可能となっています。

永久歯が生え始めてから矯正

永久歯が生え始めてから矯正

永久歯が生え始めてから矯正を行うことで、永久歯が生え揃ってから行う矯正治療とは違い、永久歯を抜歯せず歯並びを綺麗にできるというメリットがあります。

進学や就職にあわせて

進学や就職にあわせて矯正
歯並びをきれいに

進学や就職等、人生の重要な時期に合わせて、患者さんの要望に応じた目立ちにくい矯正治療をいたします。

成人と矯正

成人式と矯正

写真撮影等を楽しめるように、成人式当日には目立ちにくい矯正治療をご提案いたします。

結婚式と矯正

結婚式と矯正

ご要望に沿った矯正治療プランをご提案し、結婚式当日には目立ちにくく矯正することも可能です。

成人以降の矯正

成人以降の矯正

長い間、口元を気にされて苦痛を感じてこられた方に少しでもその苦痛から解き放たれて頂けるようお手伝い致します。

おすすめコラムRECOMMENDED COLUMN

コラムCOLUMN




VIEW
MORE

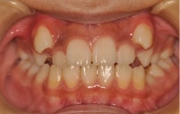
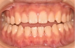
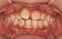
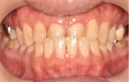
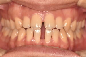
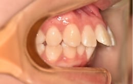
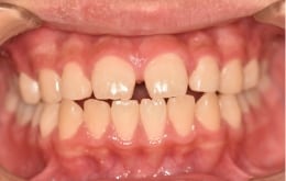
矯正症例

きくち矯正歯科では、開咬、空隙歯列、でっ歯等、様々な症例の矯正を終了した実績があります。

装置別症例

詳しくみる

目立たない歯列矯正
インビザライン

マウスピース型矯正装置
(インビザライン)

透明に近いマウスピース型の矯正装置を装着して歯並びを綺麗にする治療方法です。 食事など、必要な時には取り外すことができるので、装置に食べ物が詰まる心配が無く、治療中も普段通りに食事ができます。

当院のインビザラインについて
インビザライン

お知らせNEWS




VIEW
MORE

キッズスペース完備

伊勢市のきくち矯正歯科では、お子さまが待ち時間を退屈しないように、絵本やおもちゃ付きのキッズスペースを完備しております。
お子さま・ご家族の方々が安心してご来院いただけるよう診療体制を整えておりますので、お気軽にご来院ください。

キッズスペース

アクセスACCESS

駐車場 9台 完備

〒516-0804
三重県伊勢市御薗町長屋2061-2

VIEW
MORE

ブログBLOG




VIEW
MORE

top

初診相談の予約
MAILでのお問合わせ