電話でのご予約

0596-26-0888

治療例CASE

上顎前突(非抜歯)[2121]

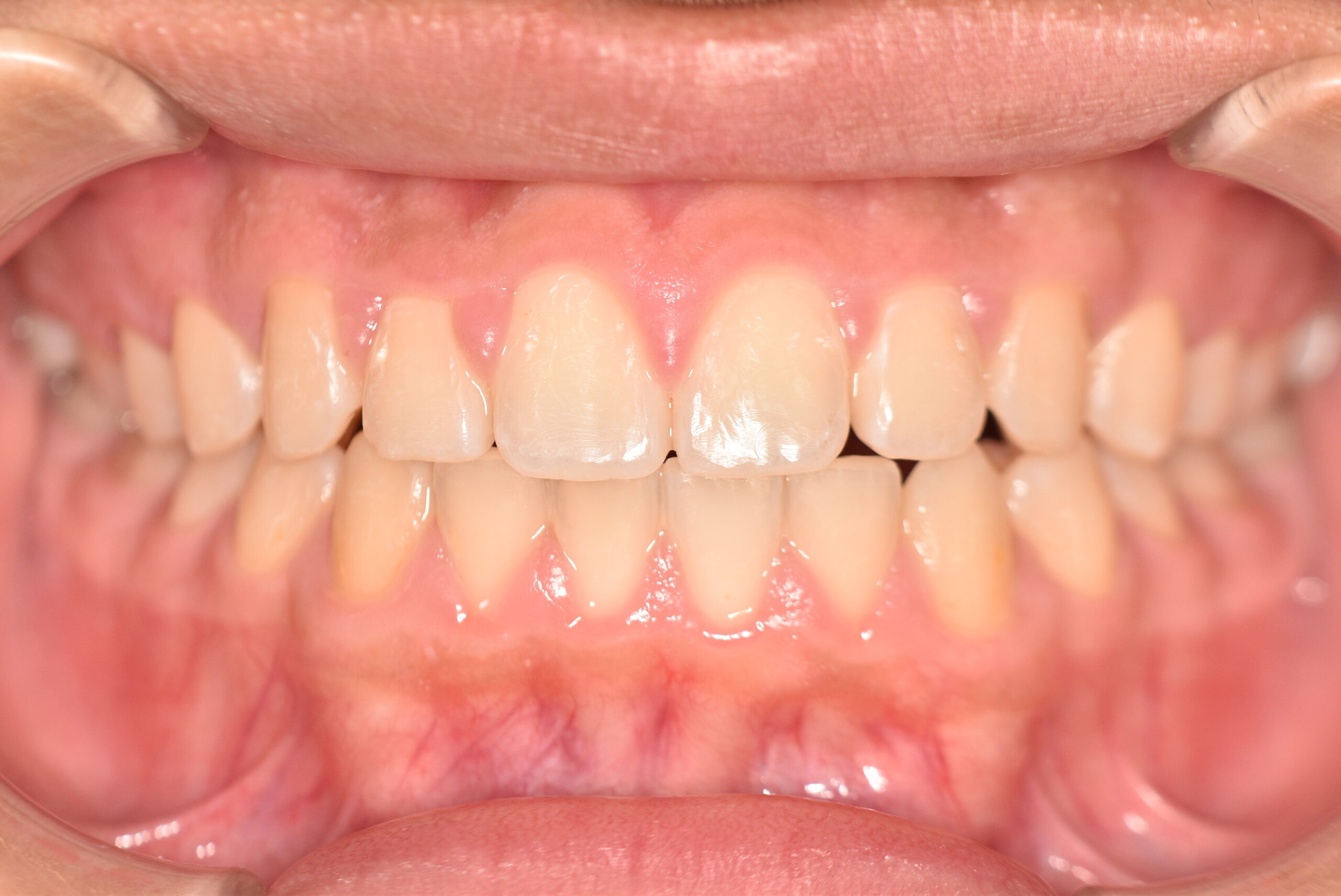
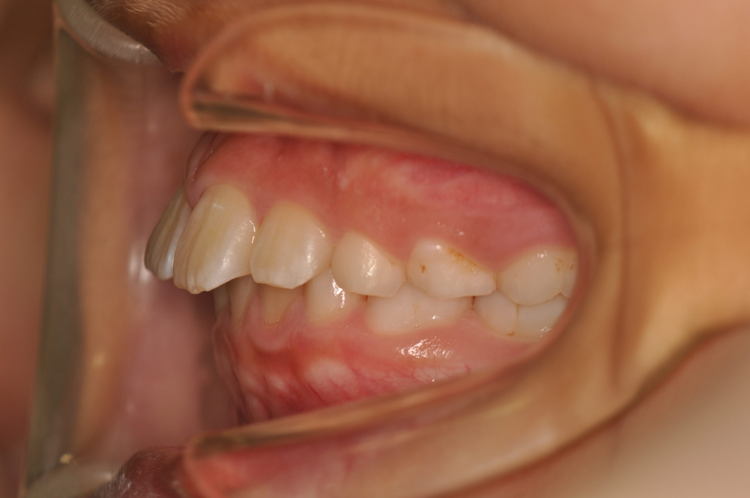
初診時

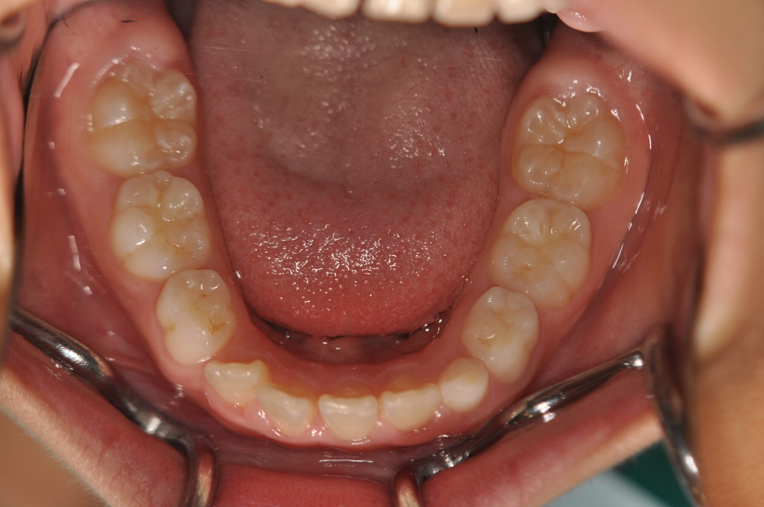
症例 症例 症例 症例

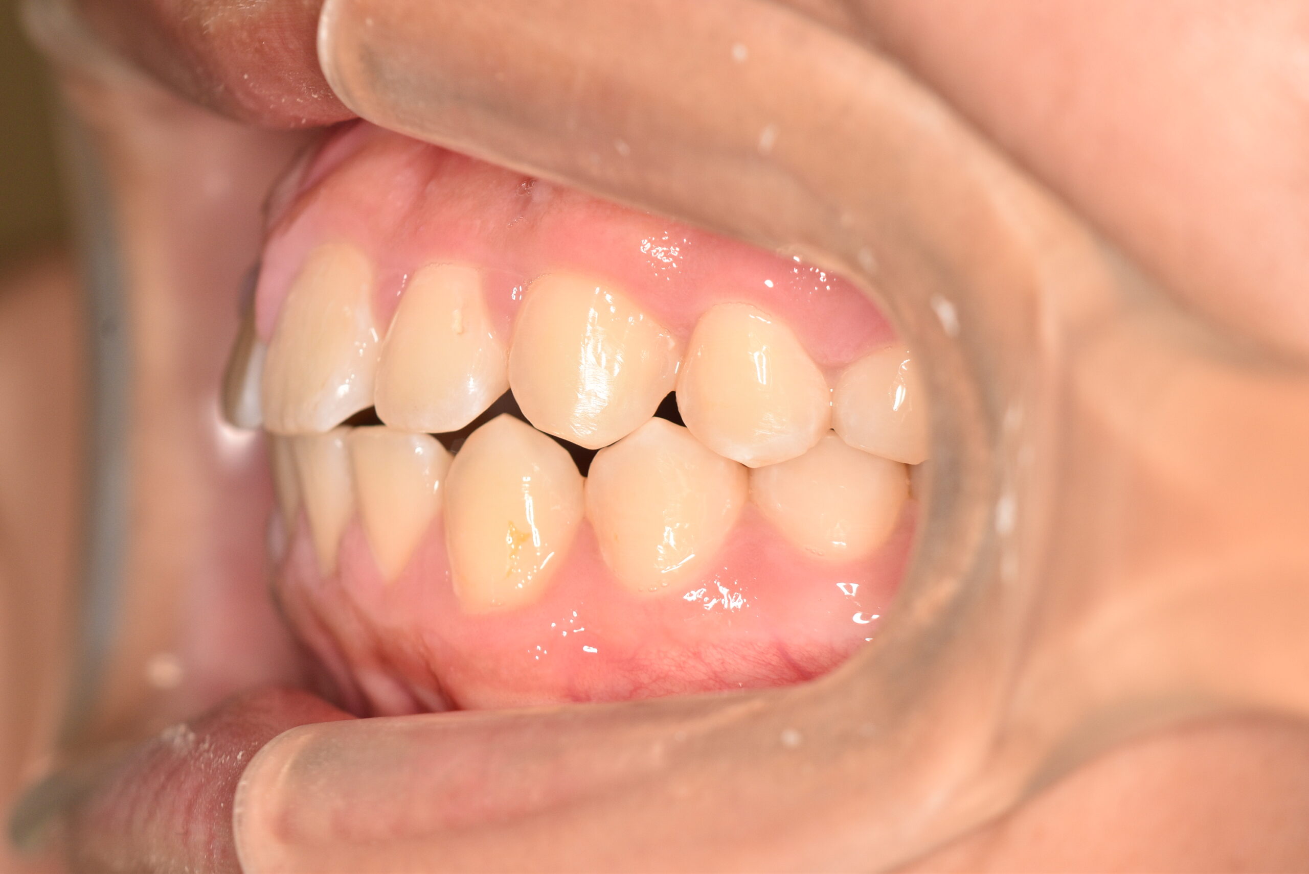
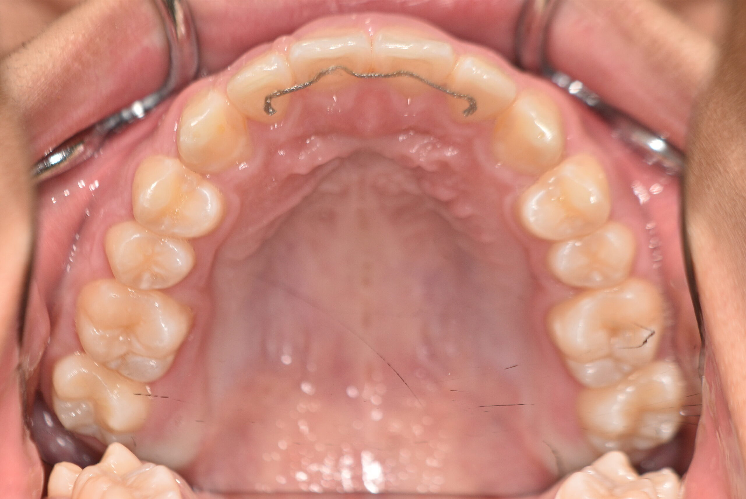
動的治療終了時

症例 症例 症例 症例
初診時
年齢
8歳11ヶ月 性 別 男性
治療期間 5年10ヶ月 費 用 矯正施術料:750,000円 調整料:4,000円/月
治療内容の詳細 初診時8歳の男性で、癒合歯があり今後の歯並びが心配で来院されました。
検査の結果、過蓋咬合、上顎前突を伴うアングルⅡ級1類不正咬合と診断しました。
治療としては、初期段階の治療として、機能的矯正装置で鼻呼吸の獲得と舌の位置や口唇の閉鎖といった筋機能習癖の改善を行いました。
永久歯列に交換後、非抜歯の上、セルフライゲーションブラケット装置(デーモンシステム)で歯の配列と咬合関係の改善を行いました。
治療期間は、5年10ヶ月でした。

治療に伴う一般的な
リスクや副作用について

患者さんには以下の矯正治療に伴うリスクや
副作用を説明し、ご理解の上で治療を行いました。

  • むし歯や歯周病
  • 歯の後戻り(歯ならびが元の位置へ戻ろうとすること)
  • 歯肉の退縮(歯ぐきがさがること)
  • 歯の失活(歯の神経が死んでしまうこと)
  • 歯根吸収(歯の根が短くなること)
  • 顎関節症 など

top

初診相談の予約
MAILでのお問合わせ