電話でのご予約
0596-26-0888
| 初診時 年齢 |
6歳0ヶ月 | 性 別 | 男性 |
|---|---|---|---|
| 治療期間 | 7年3ヶ月 | 費 用 | 矯正施術料:750,000円 調整料:4,000円 |
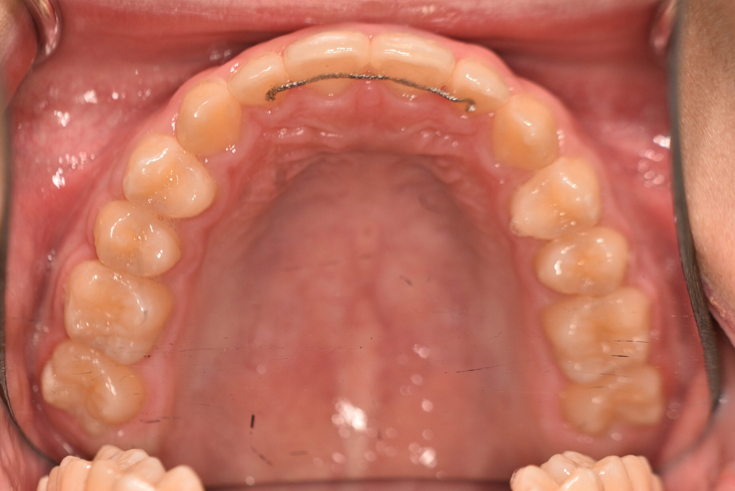
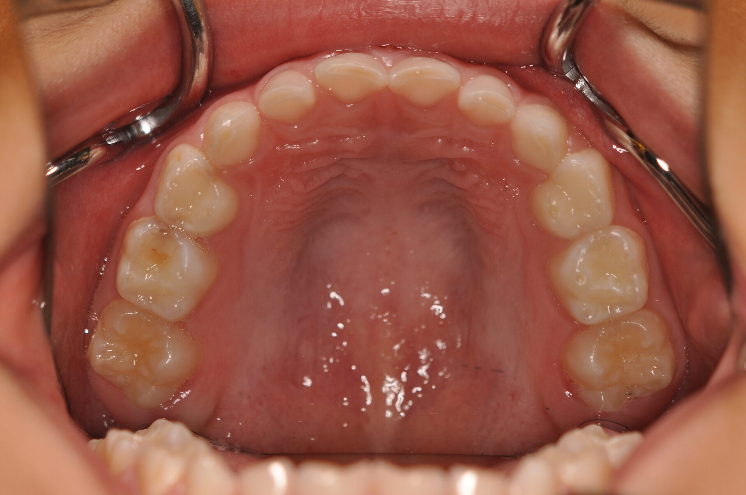
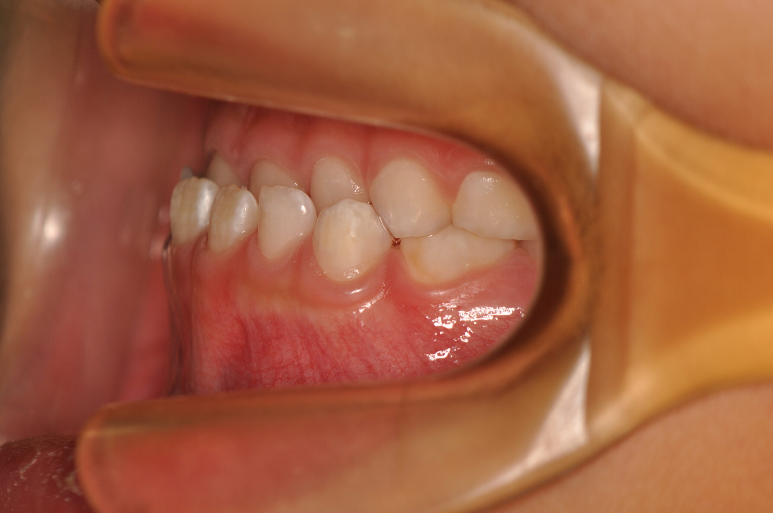
| 治療内容の詳細 | 初診時6歳の男性で、受け口を気にされ来院されました。 検査の結果、反対咬合を伴うアングルⅢ級不正咬合と診断しました。 治療としては、初期段階の治療として、機能的矯正装置で鼻呼吸の獲得と舌の位置や口唇の閉鎖といった筋機能習癖の改善を行い、上顎前方牽引装置を使用し上顎骨の前方方向への発育を誘導し、反対咬合の改善を行いました。 永久歯列に交換後、非抜歯の上、セルフライゲーションブラケット装置(デーモンシステム)で歯の配列と咬合関係の改善を行いました。 治療期間は、7年3ヶ月でした。 |
||
患者さんには以下の矯正治療に伴うリスクや
副作用を説明し、ご理解の上で治療を行いました。