MENU
CLOSE
ホーム
矯正について
› 矯正治療とは
› 始める時期
› 当院の考え
› こどもの時期に始めるメリット
› こどもの矯正
› おとなの矯正
治療
› 治療の流れ
› 治療内容
治療例
料金
スタッフ
アクセス
コラム
電話でのご予約
0596-26-0888
治療例
CASE
ホーム
›
治療例
›
でっ歯(上顎前突)
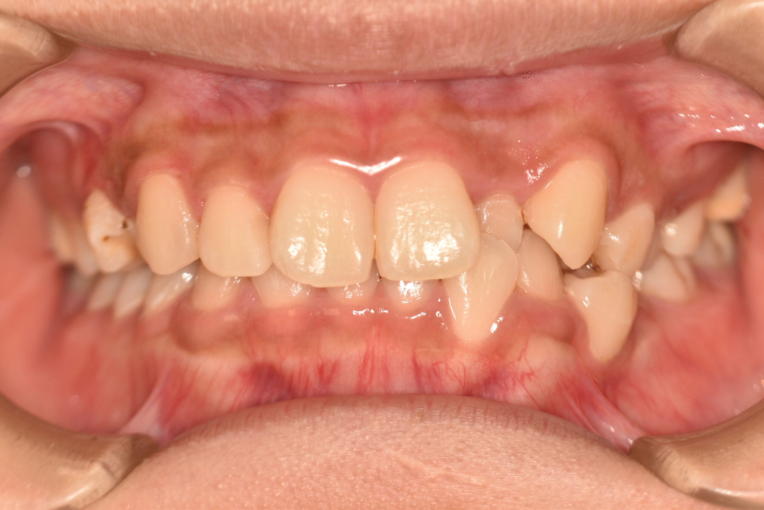
でっ歯(上顎前突)
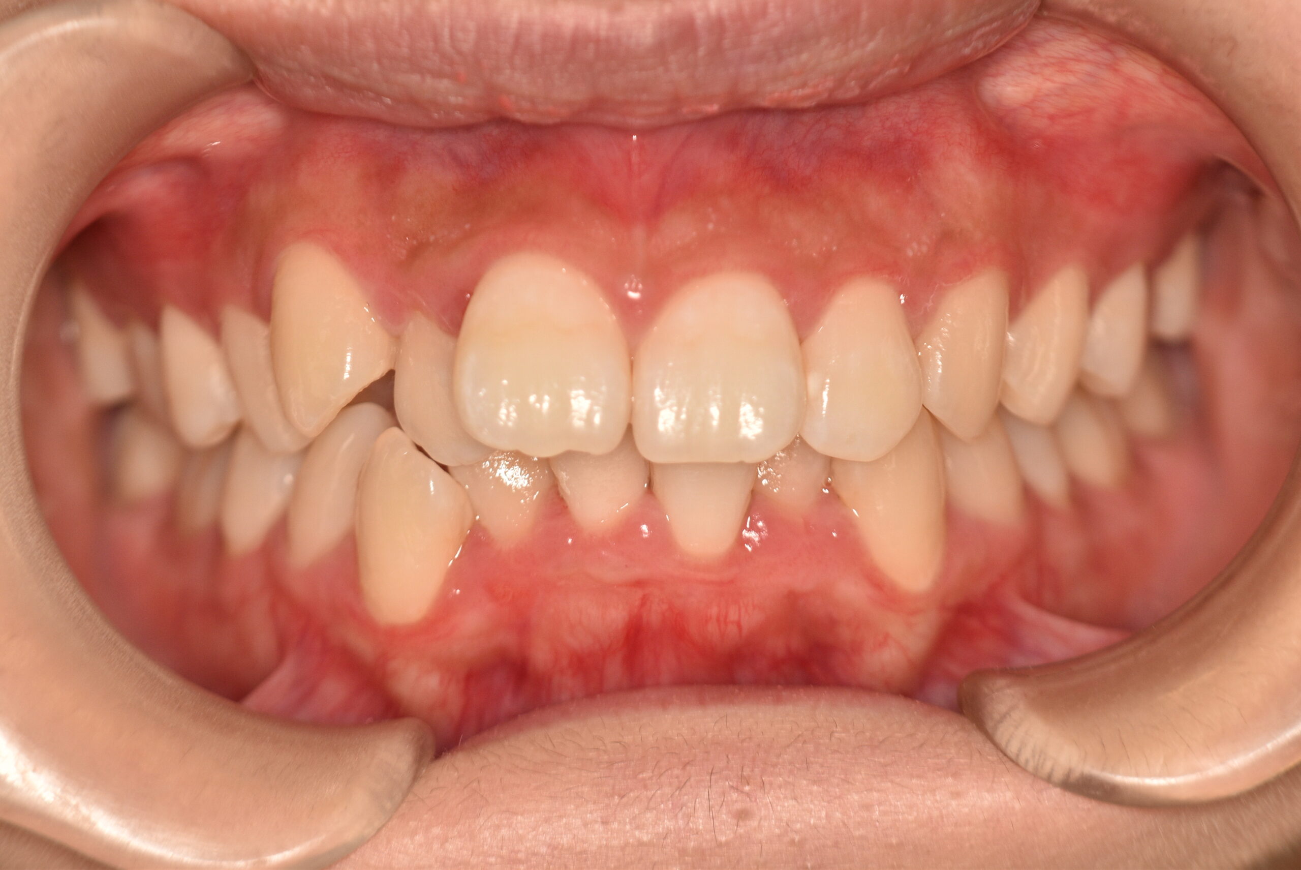
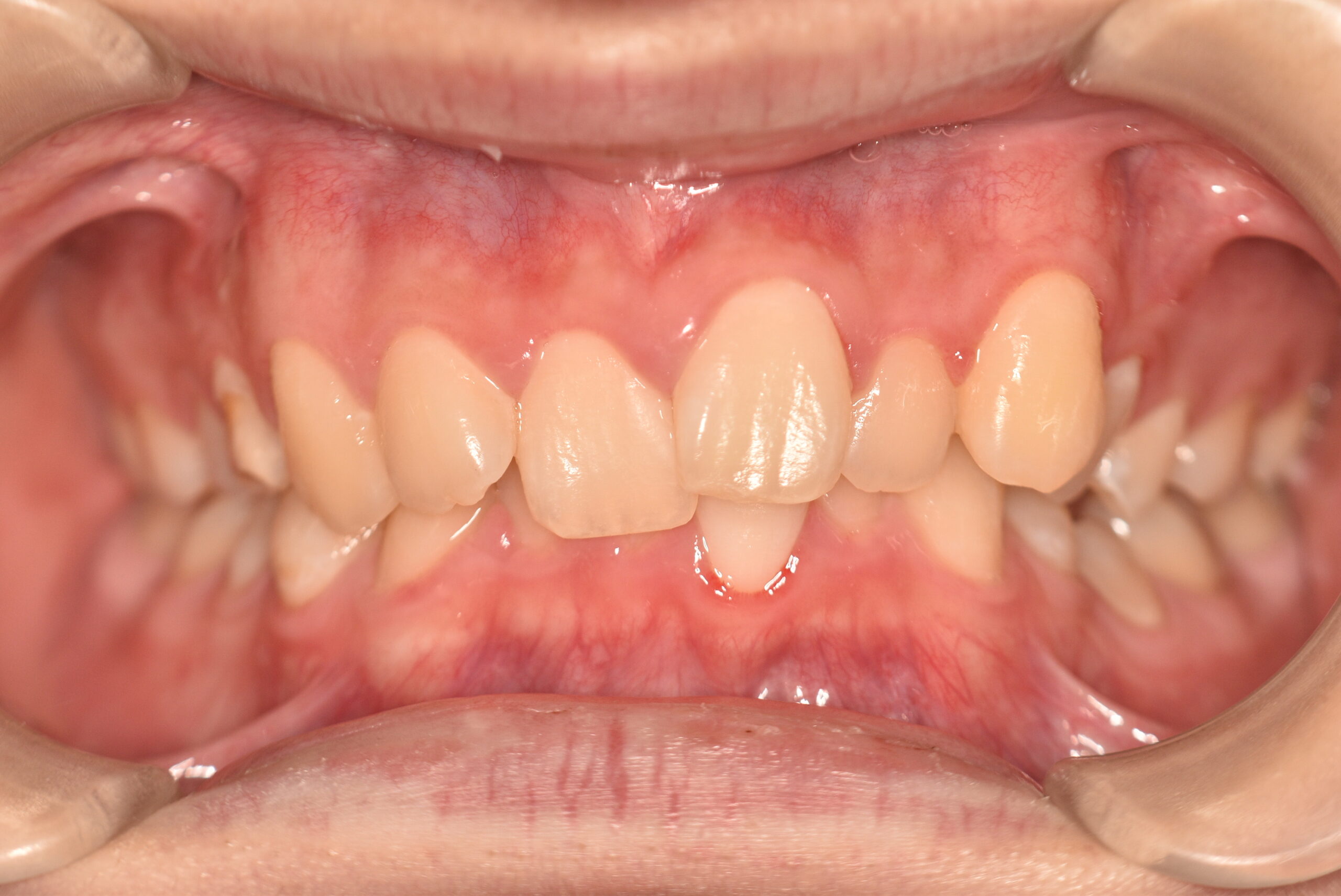
BEFORE
でっ歯(上顎前突)
抜歯
初診時年齢:29歳0ヶ月
治療期間:2年6ヶ月
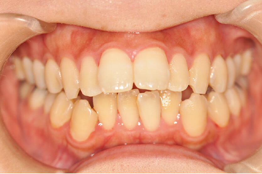
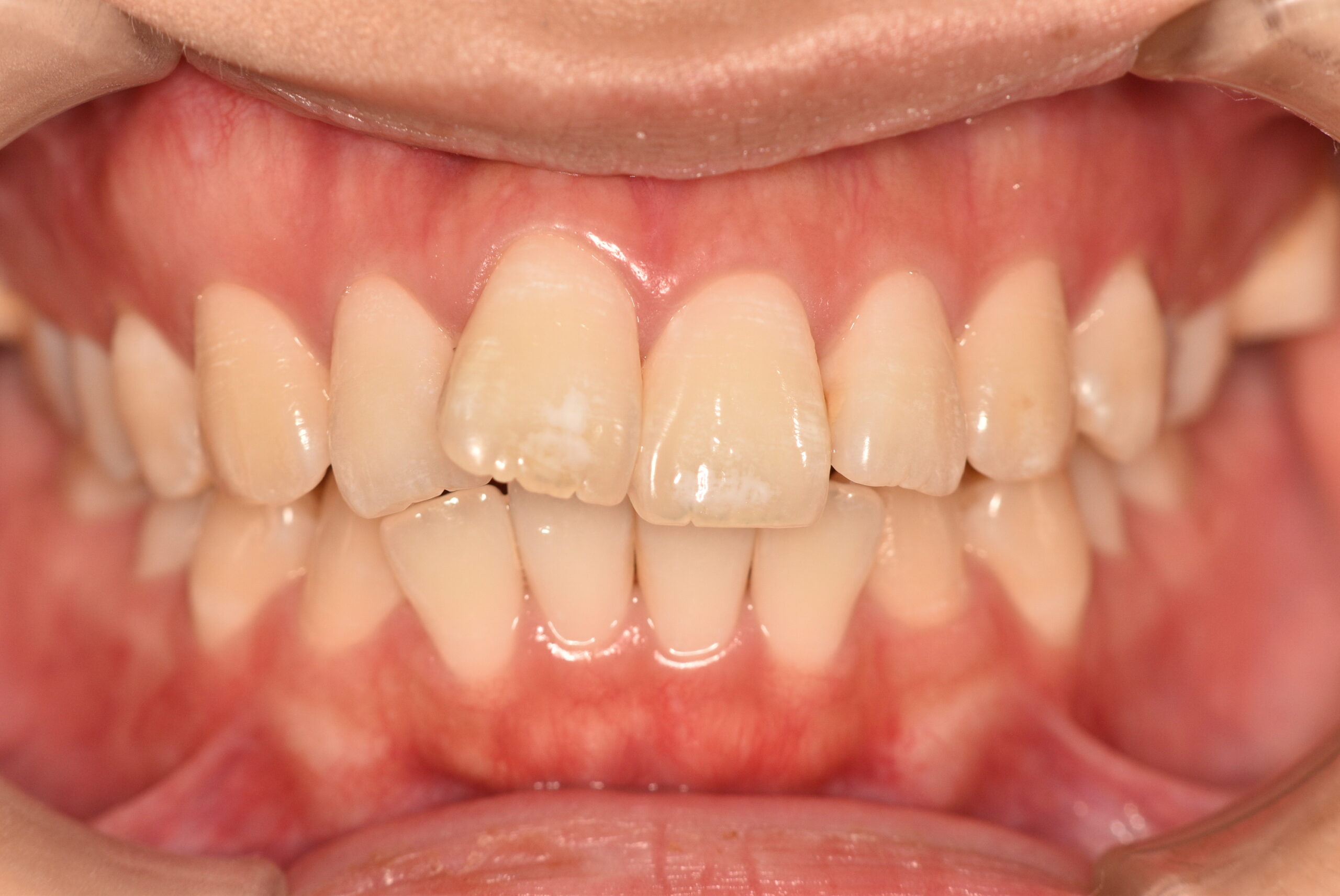
BEFORE
でっ歯(上顎前突)
八重歯・でこぼこ(叢生)
抜歯
初診時年齢:12歳0ヶ月
治療期間:2年6ヶ月
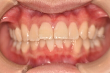
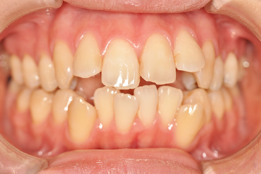
BEFORE
でっ歯(上顎前突)
八重歯・でこぼこ(叢生)
抜歯
初診時年齢:20歳5ヶ月
治療期間:2年11ヶ月
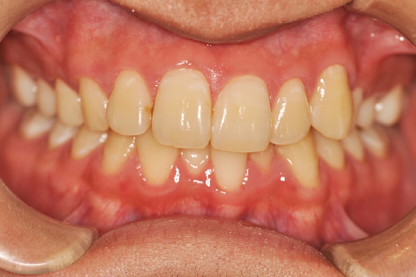
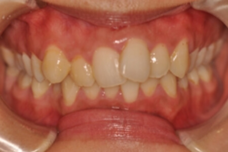
BEFORE
でっ歯(上顎前突)
非抜歯
初診時年齢:8歳11ヶ月
治療期間:5年10ヶ月
BEFORE
でっ歯(上顎前突)
非抜歯
初診時年齢:16歳
治療期間:1年6ヶ月
BEFORE
でっ歯(上顎前突)
非抜歯
初診時年齢:19歳
治療期間:2年2ヶ月
BEFORE
インビザライン
でっ歯(上顎前突)
抜歯
初診時年齢:20歳
治療期間:2年1ヶ月
BEFORE
インビザライン
でっ歯(上顎前突)
抜歯
初診時年齢:22歳
治療期間:2年2ヶ月
BEFORE
インビザライン
でっ歯(上顎前突)
抜歯
初診時年齢:21歳
治療期間:2年1か月
BEFORE
インビザライン
でっ歯(上顎前突)
抜歯
初診時年齢:25歳
治療期間:2年4か月
BEFORE
インビザライン
でっ歯(上顎前突)
抜歯
初診時年齢:16歳
治療期間:3年
BEFORE
インビザライン
でっ歯(上顎前突)
抜歯
初診時年齢:22歳
治療期間:2年4か月
BEFORE
インビザライン
でっ歯(上顎前突)
抜歯
初診時年齢:28歳
治療期間:1年10か月
BEFORE
インビザライン
でっ歯(上顎前突)
非抜歯
初診時年齢:30歳
治療期間:2年11か月
BEFORE
インビザライン
でっ歯(上顎前突)
非抜歯
初診時年齢:17歳
治療期間:1年5か月
一覧へもどる
採用情報
RECRUIT
Copyright (C)
きくち矯正歯科
. All Rights Reserved.