電話でのご予約

0596-26-0888

治療例CASE

でっ歯(非抜歯)【2104】

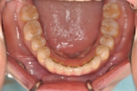
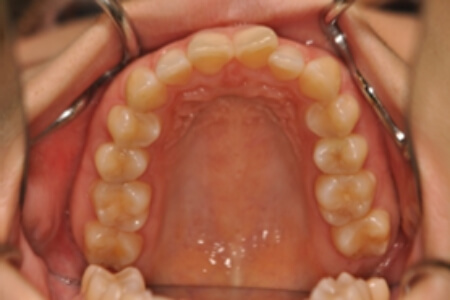
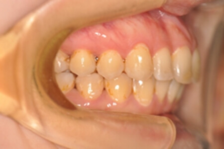
初診時

症例 症例 症例 症例

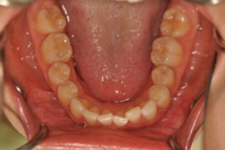
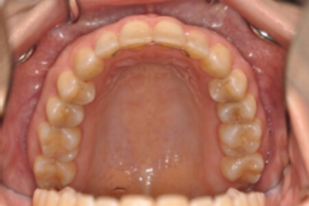
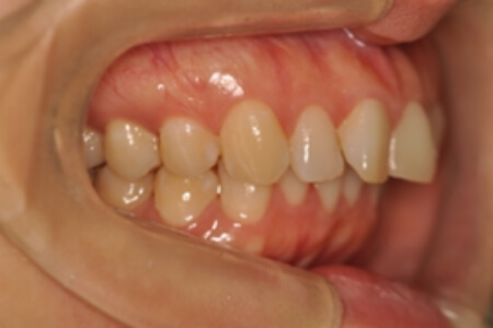
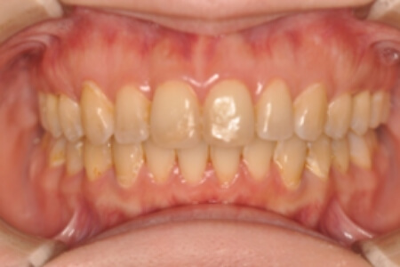
動的治療終了時

症例 症例 症例 症例
初診時
年齢
30歳 性 別 女性
治療期間 2年11か月 費 用 矯正施術料:1,000,000円
調整料:4,000円/月
治療内容の詳細 初診時30歳の女性で、全体的ながたつきを主訴として来院されました。
検査の結果、過蓋咬合を伴う、アングルⅡ級1類不正咬合と診断しました。
治療としては、非抜歯の上、セルフライゲーションブラケット装置(デーモンシステム)とマウスピース矯正装置(インビザライン)で歯の配列を行いました。
同時に顎間ゴムにて咬合関係の改善を行いました。
治療期間は2年11か月でした。

治療に伴う一般的な
リスクや副作用について

患者さんには以下の矯正治療に伴うリスクや
副作用を説明し、ご理解の上で治療を行いました。

  • むし歯や歯周病
  • 歯の後戻り(歯ならびが元の位置へ戻ろうとすること)
  • 歯肉の退縮(歯ぐきがさがること)
  • 歯の失活(歯の神経が死んでしまうこと)
  • 歯根吸収(歯の根が短くなること)
  • 顎関節症 など

top

初診相談の予約
MAILでのお問合わせ