電話でのご予約
0596-26-0888
| 初診時 年齢 |
12歳0ヶ月 | 性 別 | 女性 |
|---|---|---|---|
| 治療期間 | 2年6ヶ月 | 費 用 | 矯正施術料;800,000円 調整料:4,000円 |
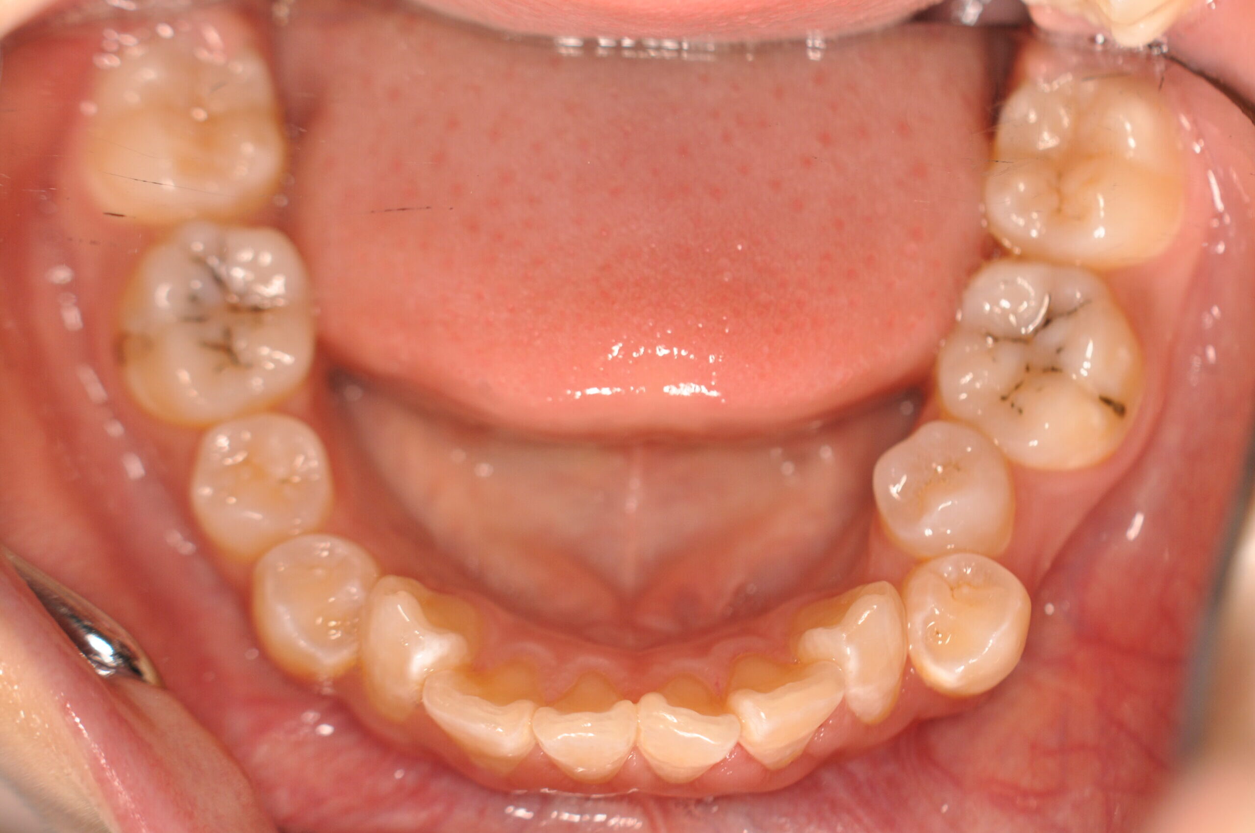
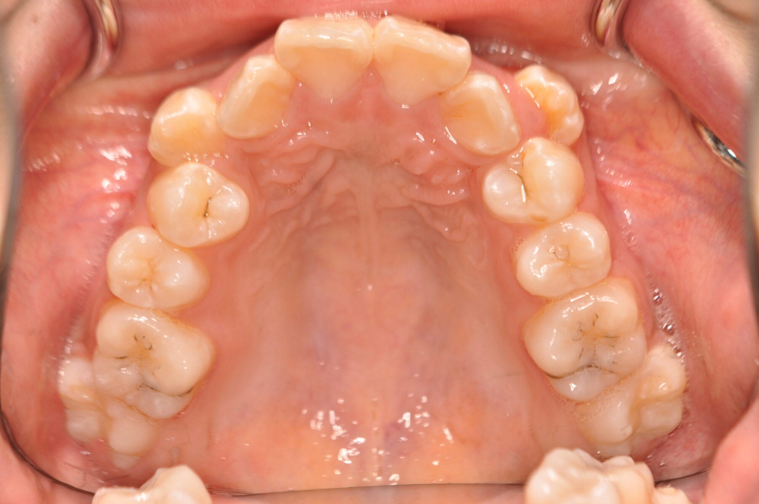
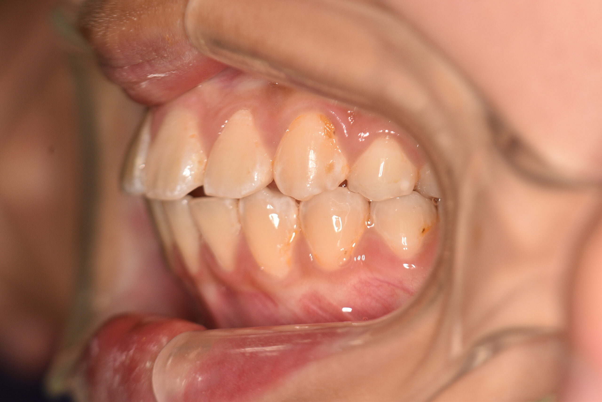
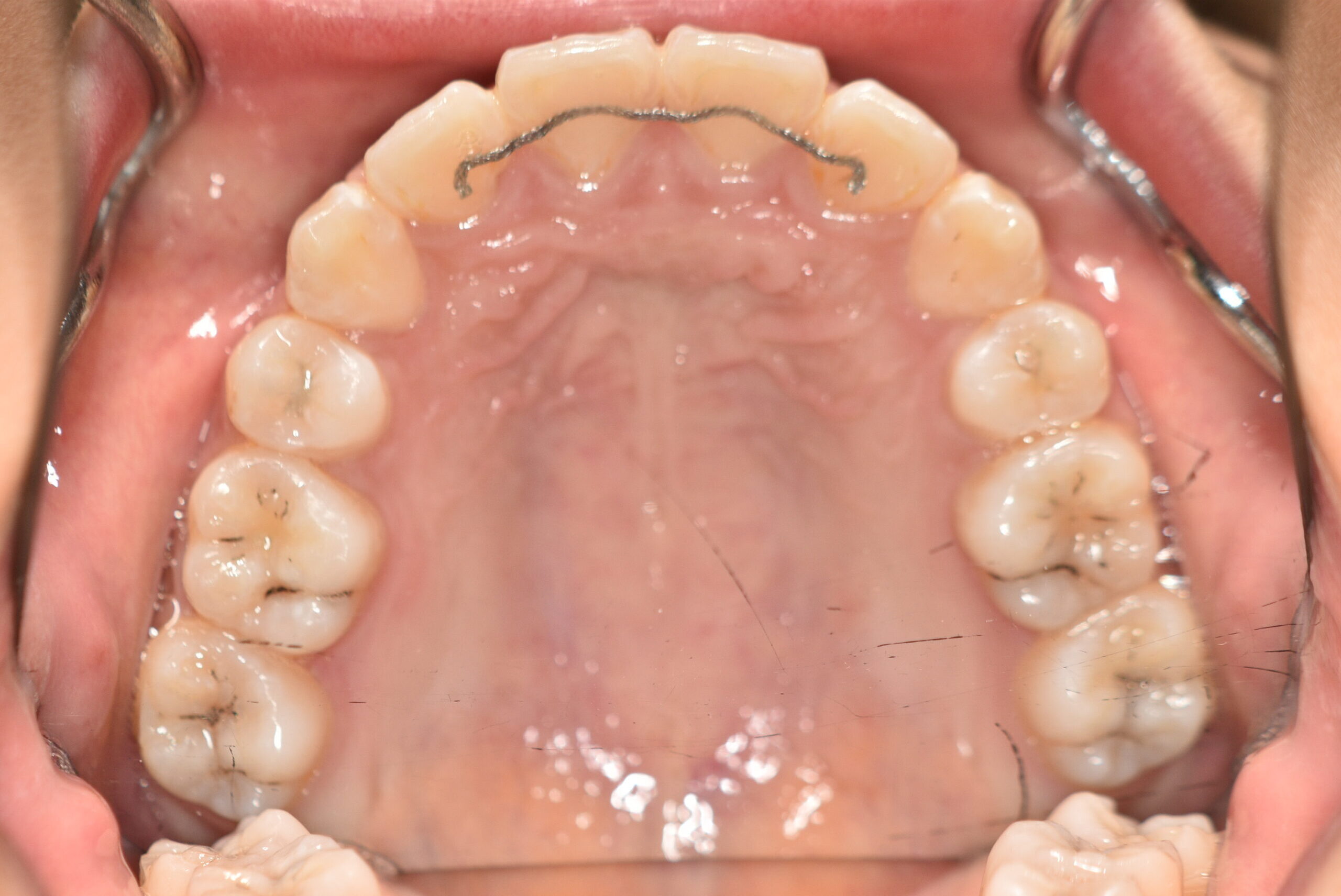
| 治療内容の詳細 | 初診時12歳の女性で、歯並びが悪く歯が磨きにくいことを気にされ来院されました。 検査の結果、上顎前突及び上下顎前歯部叢生を伴うアングルⅡ級1類不正咬合と診断しました。 治療としては、上顎左右第1小臼歯を抜歯し、セルフライゲーションブラケット装置(デーモンシステム)で歯の配列を行いました。 同時に顎間ゴムにて咬合関係の改善を行いました。 治療期間は、2年6ヶ月でした。 |
||
患者さんには以下の矯正治療に伴うリスクや
副作用を説明し、ご理解の上で治療を行いました。