MENU
CLOSE
ホーム
矯正について
› 矯正治療とは
› 始める時期
› 当院の考え
› こどもの時期に始めるメリット
› こどもの矯正
› おとなの矯正
治療
› 治療の流れ
› 治療内容
治療例
料金
スタッフ
アクセス
コラム
電話でのご予約
0596-26-0888
治療例
CASE
ホーム
›
治療例
›
非抜歯
非抜歯
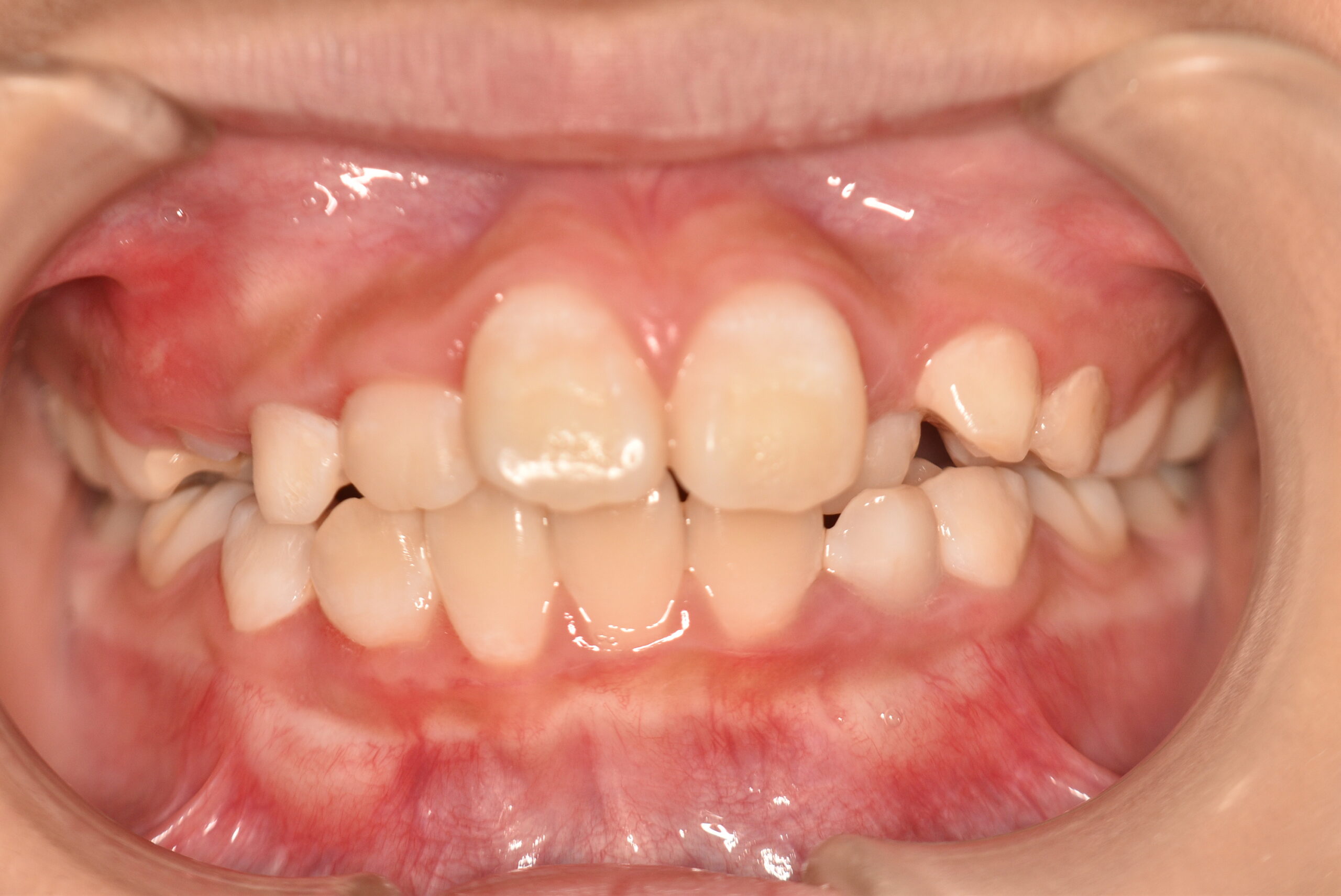
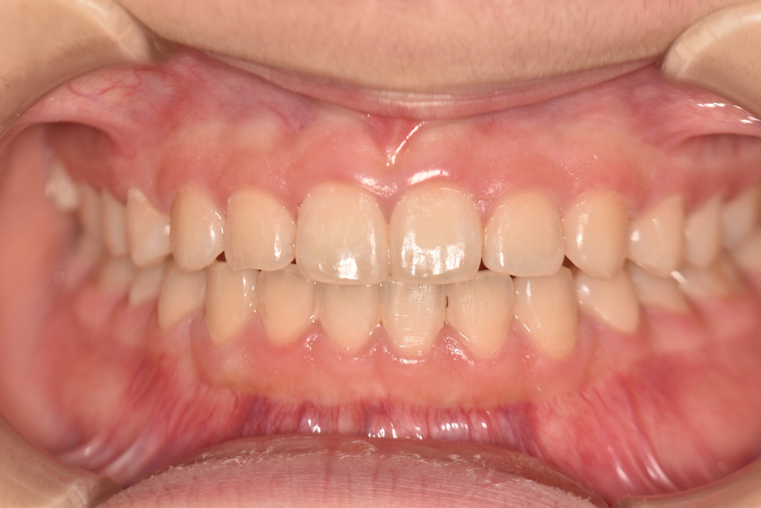
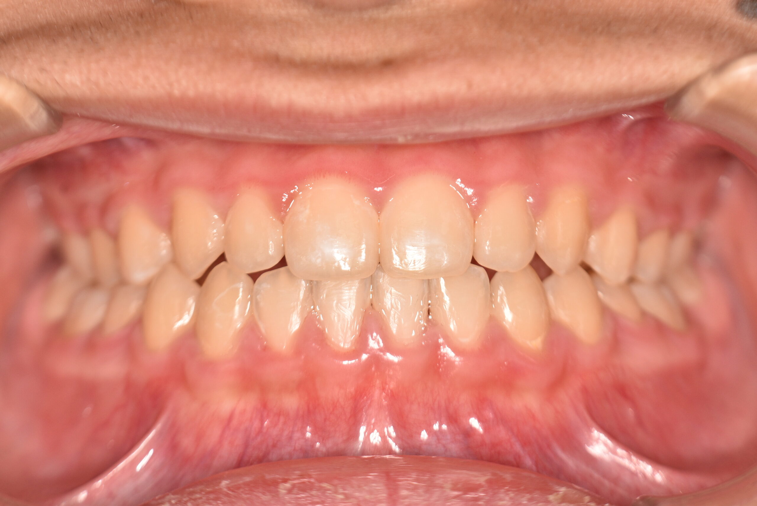
BEFORE
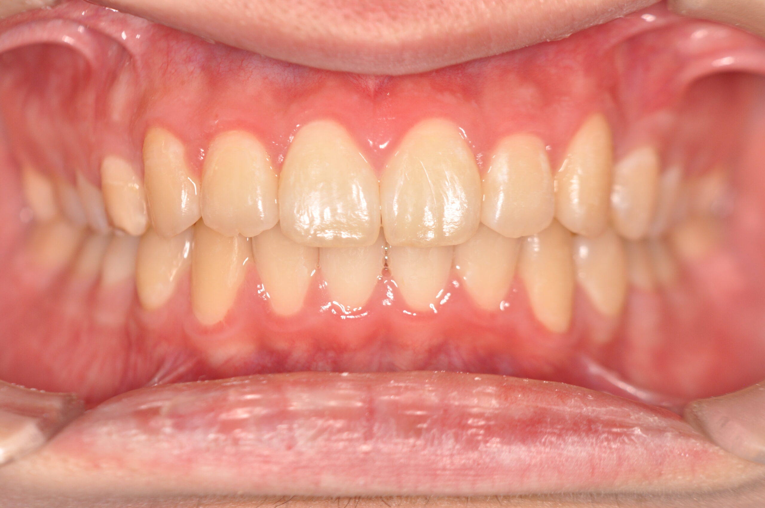
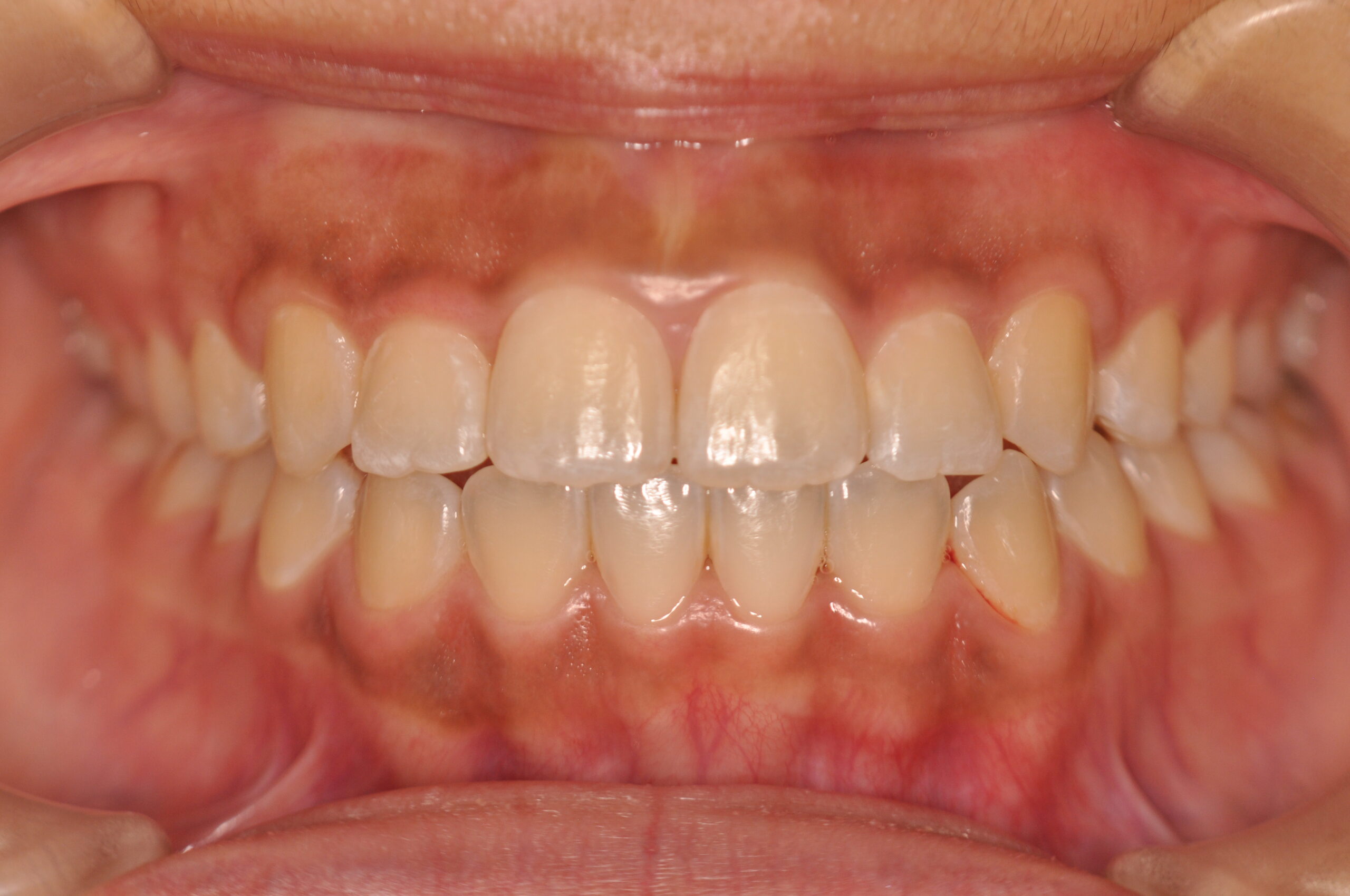
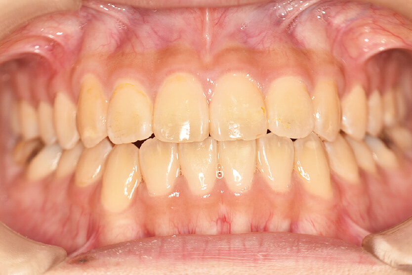
AFTER
インビザライン
八重歯・でこぼこ(叢生)
非抜歯
初診時年齢:37歳1ヶ月
治療期間:2年6ヶ月
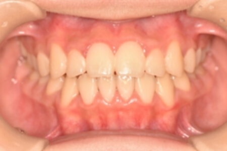
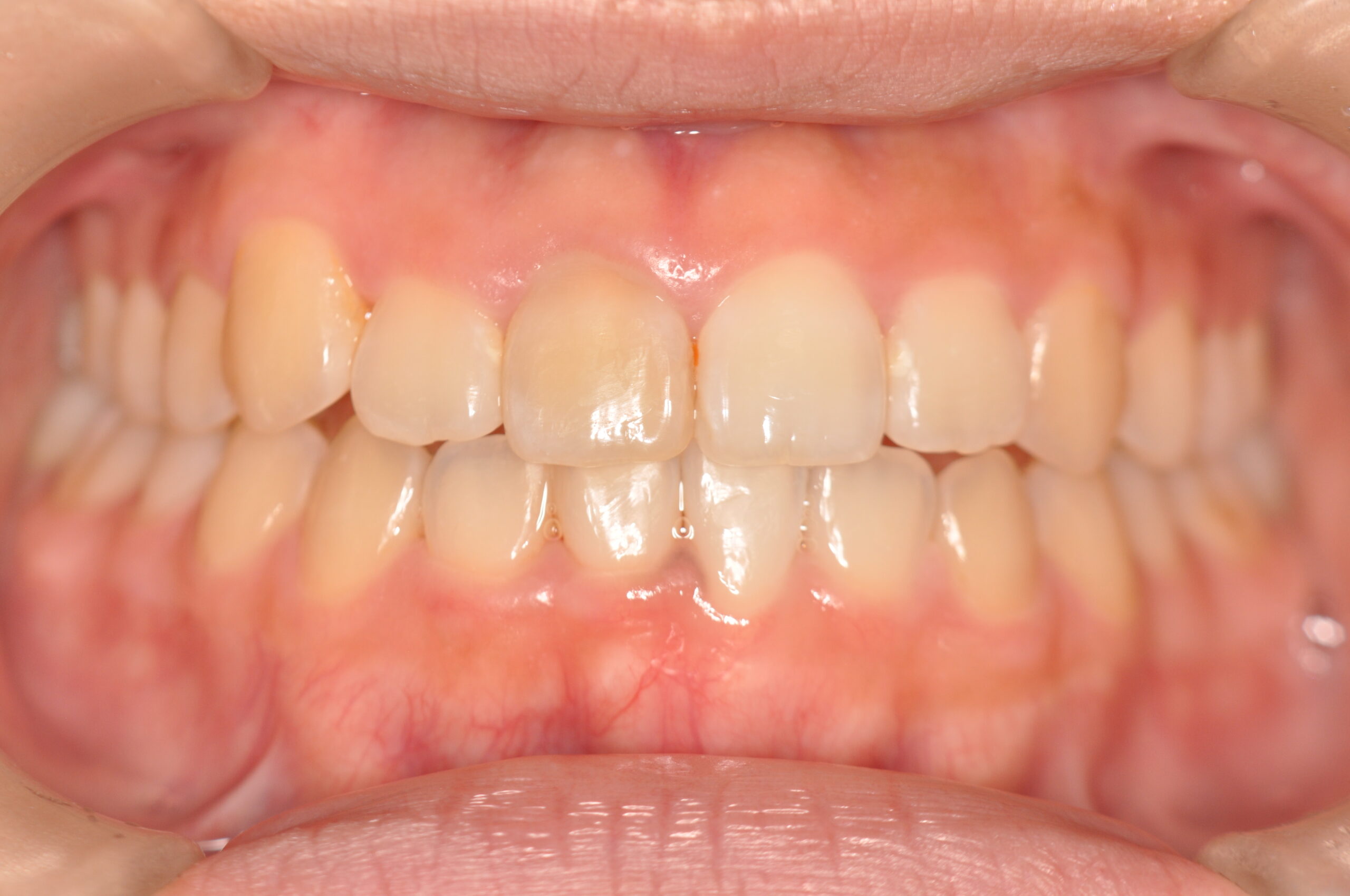
BEFORE
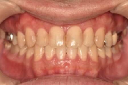
AFTER
八重歯・でこぼこ(叢生)
非抜歯
初診時年齢:31歳10ヶ月
治療期間:2年7ヶ月
BEFORE
AFTER
インビザライン
八重歯・でこぼこ(叢生)
非抜歯
初診時年齢:17歳11ヶ月
治療期間:1年10ヶ月
BEFORE
AFTER
受け口
非抜歯
初診時年齢:8歳8ヶ月
治療期間:4年3ヶ月
BEFORE
AFTER
八重歯・でこぼこ(叢生)
非抜歯
初診時年齢:8歳5ヶ月
治療期間:4年3ヶ月
BEFORE
AFTER
受け口
非抜歯
初診時年齢:6歳0ヶ月
治療期間:7年3ヶ月
BEFORE
AFTER
でっ歯(上顎前突)
非抜歯
初診時年齢:8歳11ヶ月
治療期間:5年10ヶ月
BEFORE
AFTER
でっ歯(上顎前突)
非抜歯
初診時年齢:16歳
治療期間:1年6ヶ月
BEFORE
AFTER
でっ歯(上顎前突)
非抜歯
初診時年齢:19歳
治療期間:2年2ヶ月
BEFORE
AFTER
インビザライン
開咬
非抜歯
初診時年齢:14歳
治療期間:2年2か月
BEFORE
AFTER
インビザライン
開咬
非抜歯
初診時年齢:17歳
治療期間:2年2か月
BEFORE
AFTER
インビザライン
すきっ歯・正中隔離
非抜歯
初診時年齢:29歳
治療期間:2年2か月
BEFORE
AFTER
インビザライン
受け口
非抜歯
初診時年齢:10歳
治療期間:2年8か月
BEFORE
AFTER
インビザライン
受け口
非抜歯
初診時年齢:26歳
治療期間:1年8か月
BEFORE
AFTER
インビザライン
受け口
非抜歯
初診時年齢:12歳
治療期間:1年5か月
BEFORE
AFTER
インビザライン
受け口
非抜歯
初診時年齢:19歳
治療期間:2年
一覧へもどる
採用情報
RECRUIT
Copyright (C)
きくち矯正歯科
. All Rights Reserved.