電話でのご予約
0596-26-0888
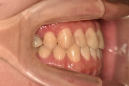
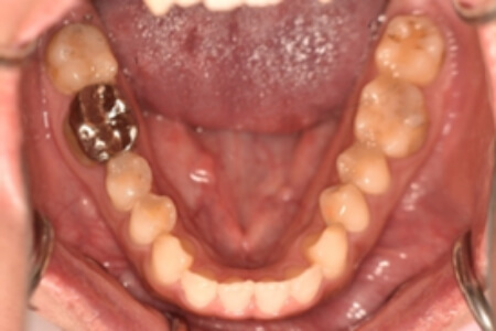
| 初診時 年齢 |
26歳 | 性 別 | 男性 |
|---|---|---|---|
| 治療期間 | 1年8か月 | 費 用 | 矯正施術料:1,000,000円 調整料:4,000円/月 |
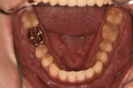
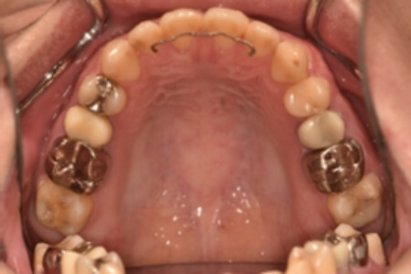
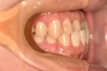
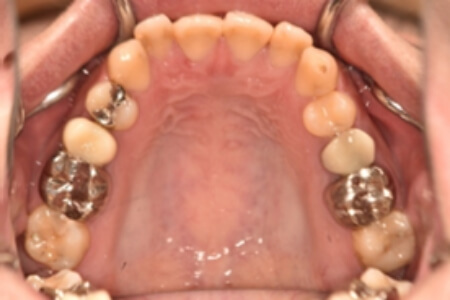
| 治療内容の詳細 | 初診時26歳の男性で、受け口を気にされ来院されました。 検査の結果、下顎前突、上顎前歯部叢生および上顎側切歯反対咬合を伴うアングルⅢ級不正咬合と診断しました。 先ず、前期治療として、リンガルアーチを使用し、上顎中切歯を前方へ移動させ、反対咬合の改善を行いました。 その後、マウスピース型矯正装置(インビザライン)で配列を行いました。 治療期間としては1年8か月でした。 |
||
患者さんには以下の矯正治療に伴うリスクや
副作用を説明し、ご理解の上で治療を行いました。