MENU
CLOSE
ホーム
矯正について
› 矯正治療とは
› 始める時期
› 当院の考え
› こどもの時期に始めるメリット
› こどもの矯正
› おとなの矯正
治療
› 治療の流れ
› 治療内容
治療例
料金
スタッフ
アクセス
コラム
電話でのご予約
0596-26-0888
治療例
CASE
ホーム
›
治療例
›
開咬
開咬
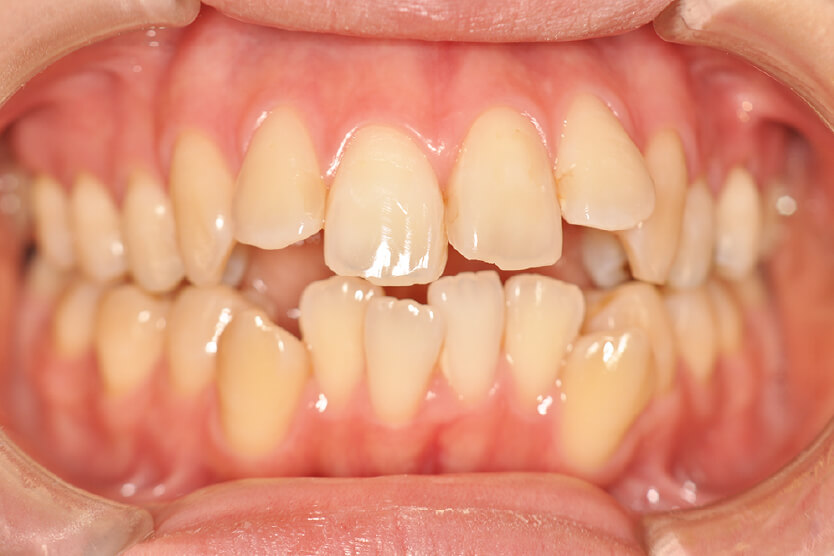
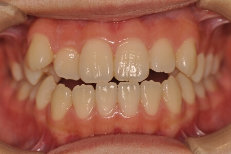
BEFORE
インビザライン
八重歯・でこぼこ(叢生)
開咬
抜歯
初診時年齢:26歳6ヶ月
治療期間:3年7ヶ月
BEFORE
インビザライン
開咬
非抜歯
初診時年齢:14歳
治療期間:2年2か月
BEFORE
インビザライン
開咬
非抜歯
初診時年齢:17歳
治療期間:2年2か月
BEFORE
インビザライン
開咬
抜歯
初診時年齢:18歳
治療期間:2年8か月
BEFORE
インビザライン
開咬
抜歯
初診時年齢:21歳
治療期間:2年1か月
BEFORE
インビザライン
開咬
非抜歯
初診時年齢:15歳
治療期間:2年
BEFORE
インビザライン
開咬
非抜歯
初診時年齢:16歳
治療期間:1年6か月
一覧へもどる
採用情報
RECRUIT
Copyright (C)
きくち矯正歯科
. All Rights Reserved.