MENU
CLOSE
ホーム
矯正について
› 矯正治療とは
› 始める時期
› 当院の考え
› こどもの時期に始めるメリット
› こどもの矯正
› おとなの矯正
治療
› 治療の流れ
› 治療内容
治療例
料金
スタッフ
アクセス
コラム
電話でのご予約
0596-26-0888
治療例
CASE
ホーム
›
治療例
›
八重歯・でこぼこ(叢生)
八重歯・でこぼこ(叢生)
BEFORE
インビザライン
八重歯・でこぼこ(叢生)
非抜歯
初診時年齢:37歳1ヶ月
治療期間:2年6ヶ月
BEFORE
八重歯・でこぼこ(叢生)
非抜歯
初診時年齢:31歳10ヶ月
治療期間:2年7ヶ月
BEFORE
インビザライン
八重歯・でこぼこ(叢生)
非抜歯
初診時年齢:17歳11ヶ月
治療期間:1年10ヶ月
BEFORE
インビザライン
八重歯・でこぼこ(叢生)
開咬
抜歯
初診時年齢:26歳6ヶ月
治療期間:3年7ヶ月
BEFORE
八重歯・でこぼこ(叢生)
抜歯
初診時年齢:29歳11ヶ月
治療期間:2年0ヶ月
BEFORE
でっ歯(上顎前突)
八重歯・でこぼこ(叢生)
抜歯
初診時年齢:12歳0ヶ月
治療期間:2年6ヶ月
BEFORE
でっ歯(上顎前突)
八重歯・でこぼこ(叢生)
抜歯
初診時年齢:20歳5ヶ月
治療期間:2年11ヶ月
BEFORE
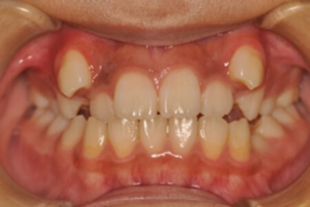
八重歯・でこぼこ(叢生)
非抜歯
初診時年齢:8歳5ヶ月
治療期間:4年3ヶ月
BEFORE
八重歯・でこぼこ(叢生)
抜歯
初診時年齢:15歳
治療期間:2年3ヶ月
BEFORE
インビザライン
八重歯・でこぼこ(叢生)
抜歯
初診時年齢:9歳
治療期間:1年7ヶ月
BEFORE
インビザライン
八重歯・でこぼこ(叢生)
抜歯
初診時年齢:15歳
治療期間:2年3ヶ月
BEFORE
インビザライン
八重歯・でこぼこ(叢生)
抜歯
初診時年齢:20歳
治療期間:3年4か月
BEFORE
インビザライン
八重歯・でこぼこ(叢生)
抜歯
初診時年齢:15歳
治療期間:2年11か月
BEFORE
インビザライン
八重歯・でこぼこ(叢生)
抜歯
初診時年齢:21歳
治療期間:1年4か月
BEFORE
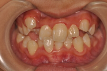
八重歯・でこぼこ(叢生)
非抜歯
初診時年齢:11歳
治療期間:2年3か月
BEFORE
八重歯・でこぼこ(叢生)
非抜歯
初診時年齢:10歳
治療期間:2年11か月
一覧へもどる
採用情報
RECRUIT
Copyright (C)
きくち矯正歯科
. All Rights Reserved.