電話でのご予約
0596-26-0888
| 初診時 年齢 |
21歳 | 性 別 | 女性 |
|---|---|---|---|
| 治療期間 | 1年4か月 | 費 用 | 矯正施術料:1,000,000円 調整料:4,000円/月 |
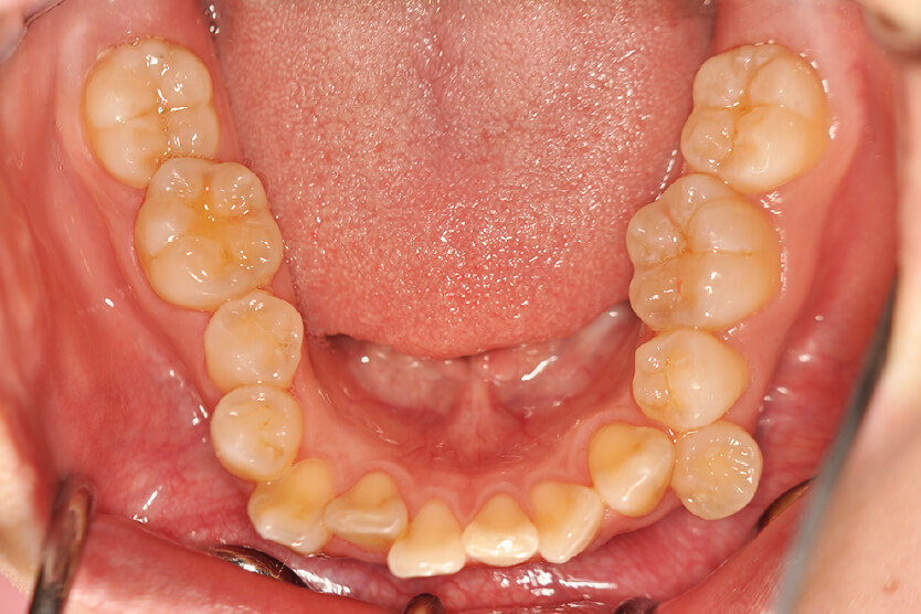
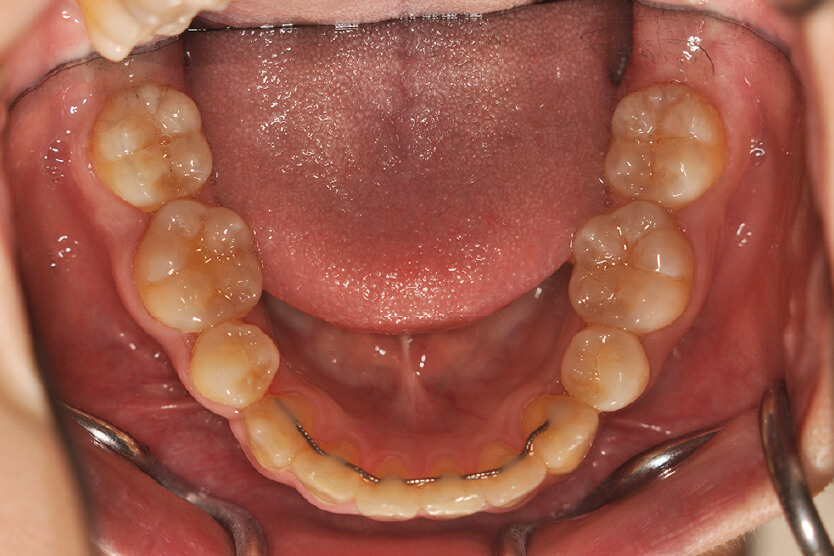
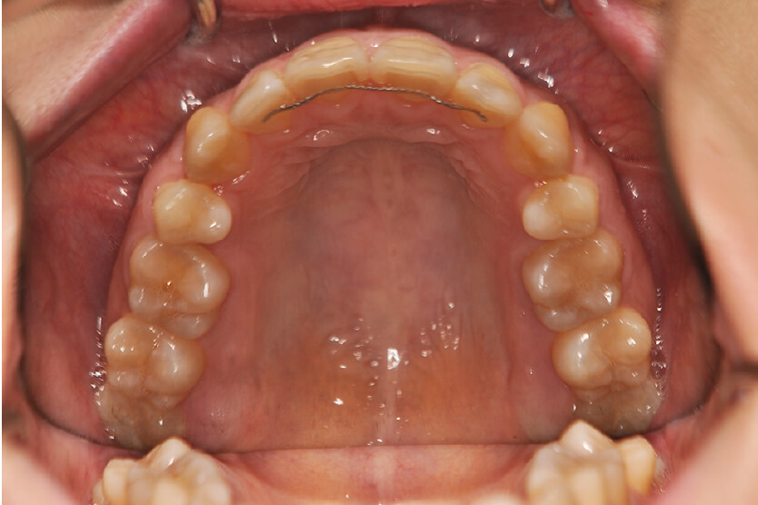
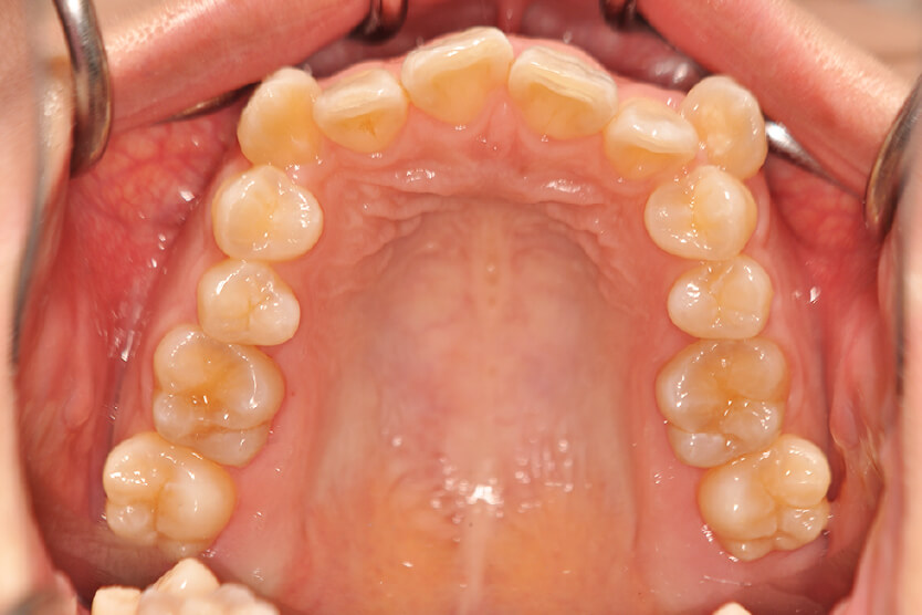
| 治療内容の詳細 | 初診時21歳の女性で、八重歯、歯のがたつき主訴として来院されました。 検査の結果、上下顎前歯部叢生を伴うアングルⅡ級1類不正咬合と診断しました。 治療としては、上下顎左右第一小臼歯を抜歯し、セルフライゲーションブラケット装置(デーモンシステム)とマウスピース矯正装置(インビザライン)で歯の配列を行いました。 治療期間は、1年4か月でした。 |
||
患者さんには以下の矯正治療に伴うリスクや
副作用を説明し、ご理解の上で治療を行いました。