電話でのご予約

0596-26-0888

治療例CASE

八重歯・抜歯(抜歯)【2251】

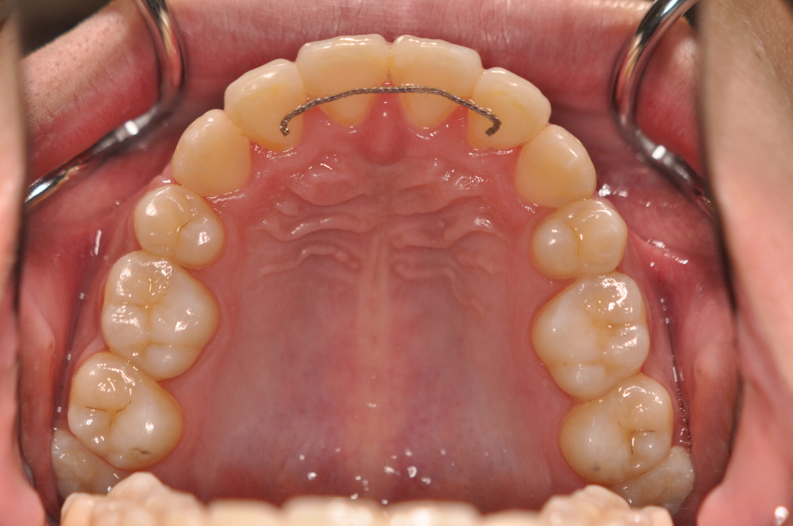
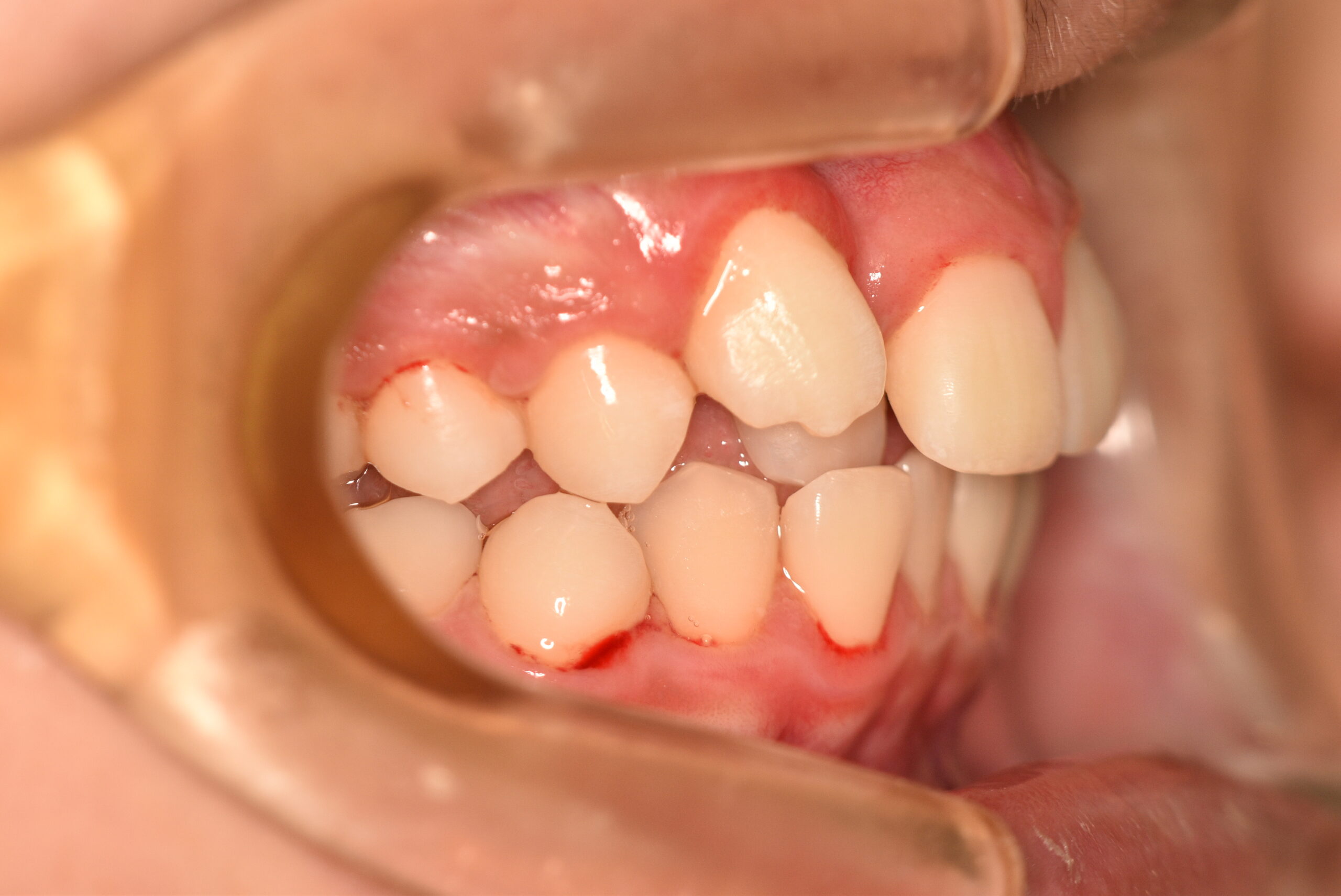
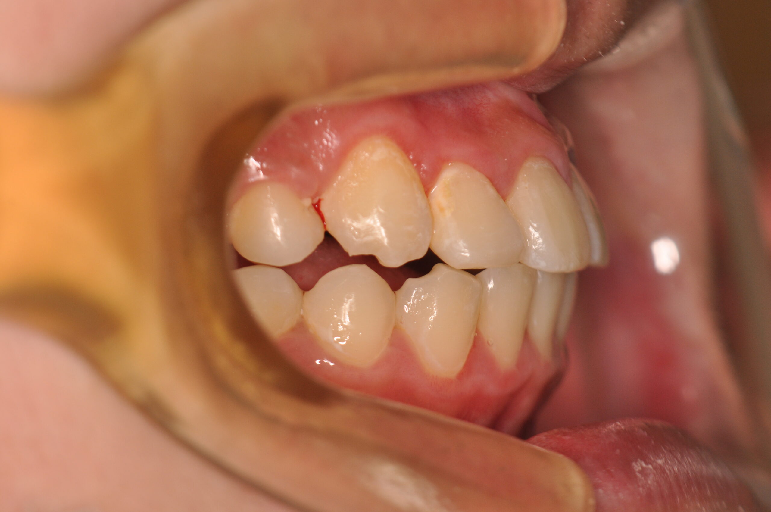
初診時

症例 症例 症例 症例 症例

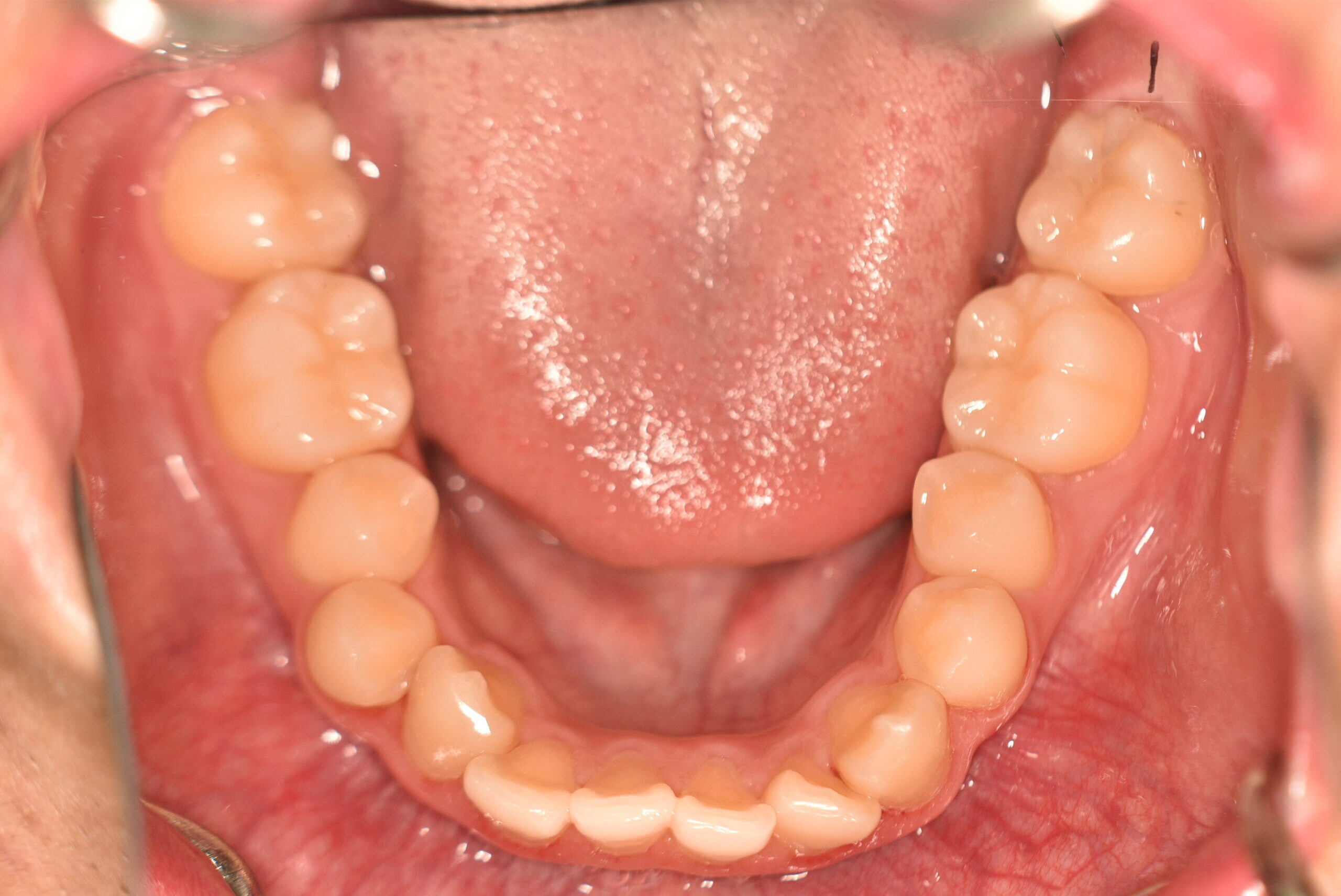
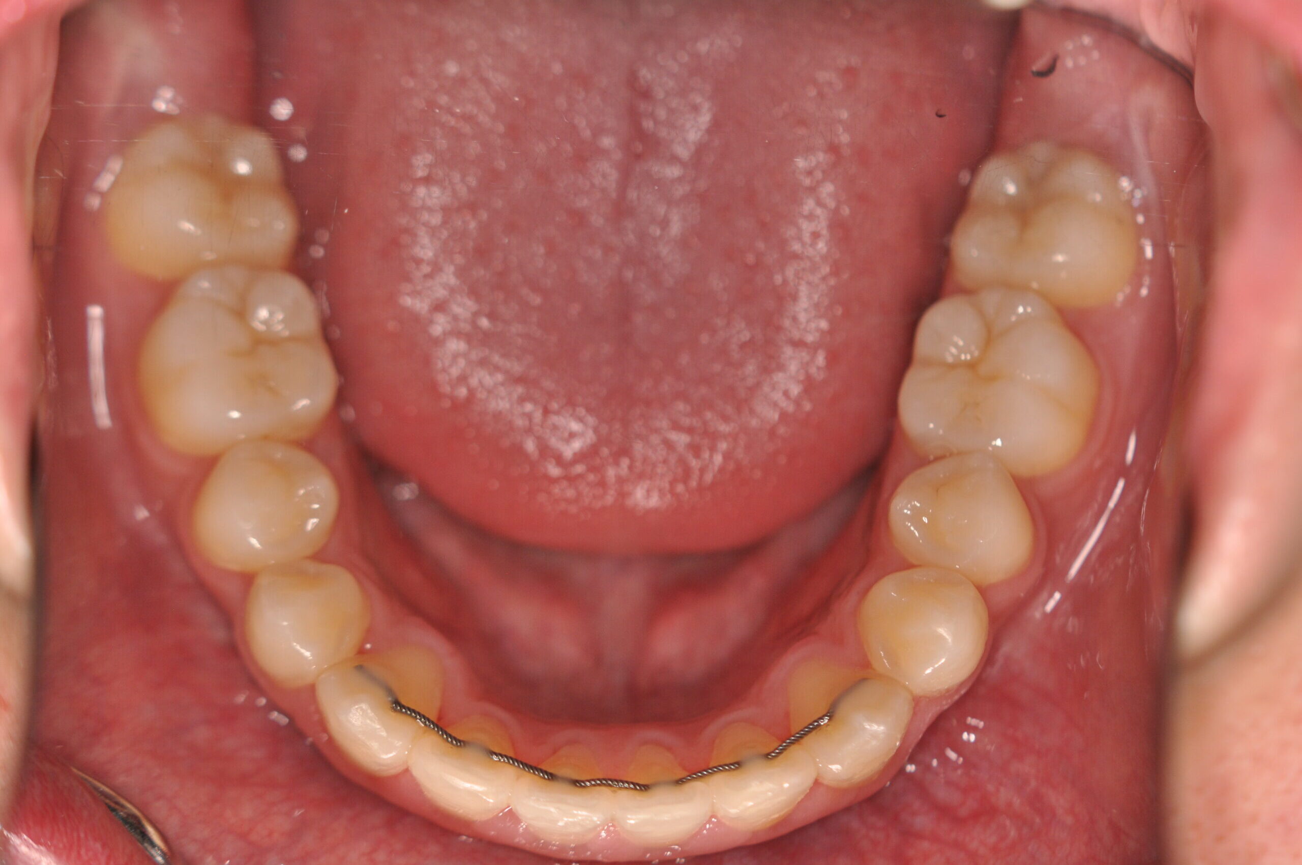
動的治療終了時

症例 症例 症例 症例 症例
初診時
年齢
15歳 性 別 男性
治療期間 2年3ヶ月 費 用 矯正施術料:900,000円
調整料:4,000円/月
治療内容の詳細 初診時15歳の男性で、歯のがたつきを気にされ来院されました。
検査の結果、上顎前歯部叢生を伴うアングルⅡ級1類不正咬合と診断しました。
治療としては、上顎第一小臼歯を抜歯し、セルフライゲーションブラケット装置(デーモンシステム)で配列を行いました。
同時に顎間ゴムにて咬合関係の改善を行いました。
治療期間は、2年3ヶ月でした。

治療に伴う一般的な
リスクや副作用について

患者さんには以下の矯正治療に伴うリスクや
副作用を説明し、ご理解の上で治療を行いました。

  • むし歯や歯周病
  • 歯の後戻り(歯ならびが元の位置へ戻ろうとすること)
  • 歯肉の退縮(歯ぐきがさがること)
  • 歯の失活(歯の神経が死んでしまうこと)
  • 歯根吸収(歯の根が短くなること)
  • 顎関節症 など

top

初診相談の予約
MAILでのお問合わせ