電話でのご予約
0596-26-0888
| 初診時 年齢 |
10歳 | 性 別 | 女性 |
|---|---|---|---|
| 治療期間 | 2年11か月 | 費 用 | 矯正施術料:750,000円 調整料:4,000円/月 |
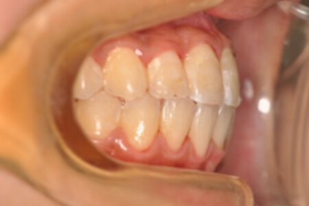
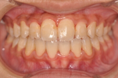
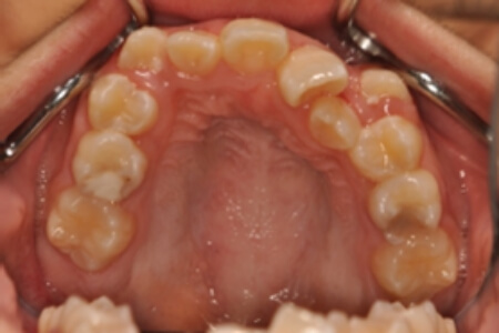
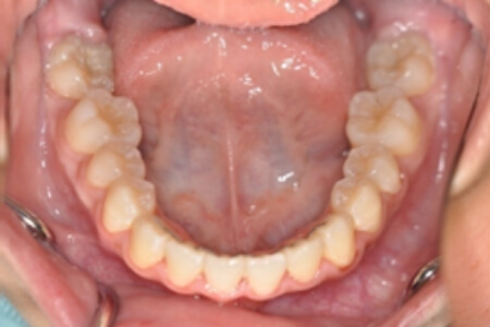
| 治療内容の詳細 | 初診時10歳の女性で、全体的ながたつきを主訴として来院されました。 検査の結果、交叉咬合を伴う、アングルⅠ級不正咬合と診断しました。 治療としては、反対咬合を改善するための装置で上顎前歯部を前方にだすと同時に上あごを広げ、セルフライゲーションブラケット装置(デーモンシステム)で歯の配列を行いました。 治療期間は2年11か月でした。 |
||
患者さんには以下の矯正治療に伴うリスクや
副作用を説明し、ご理解の上で治療を行いました。