MENU
CLOSE
ホーム
矯正について
› 矯正治療とは
› 始める時期
› 当院の考え
› こどもの時期に始めるメリット
› こどもの矯正
› おとなの矯正
治療
› 治療の流れ
› 治療内容
治療例
料金
スタッフ
アクセス
コラム
電話でのご予約
0596-26-0888
治療例
CASE
ホーム
›
治療例
›
すきっ歯・正中隔離
すきっ歯・正中隔離
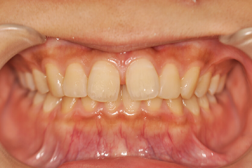
BEFORE
インビザライン
すきっ歯・正中隔離
非抜歯
初診時年齢:29歳
治療期間:2年2か月
BEFORE
インビザライン
すきっ歯・正中隔離
非抜歯
初診時年齢:21歳
治療期間:1年9か月
BEFORE
インビザライン
すきっ歯・正中隔離
非抜歯
初診時年齢:16歳
治療期間:1年11か月
BEFORE
インビザライン
すきっ歯・正中隔離
非抜歯
初診時年齢:13歳
治療期間:2年
BEFORE
インビザライン
すきっ歯・正中隔離
非抜歯
初診時年齢:19歳
治療期間:1年2か月
一覧へもどる
採用情報
RECRUIT
Copyright (C)
きくち矯正歯科
. All Rights Reserved.