電話でのご予約
0596-26-0888
| 初診時 年齢 |
16歳 | 性 別 | 男性 |
|---|---|---|---|
| 治療期間 | 1年6ヶ月 | 費 用 | 矯正施術料:850,000円 調整料:4,000円/月 |
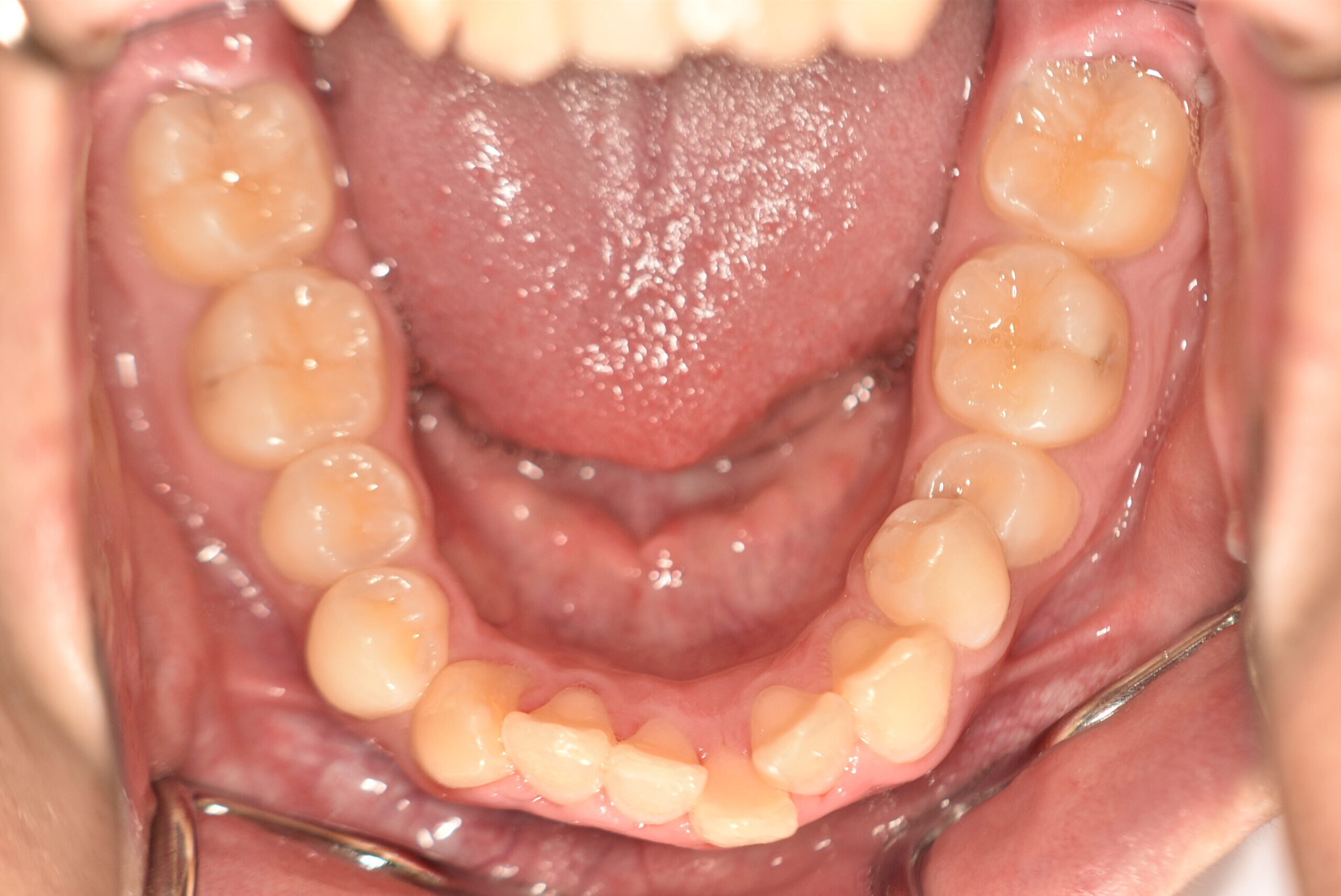
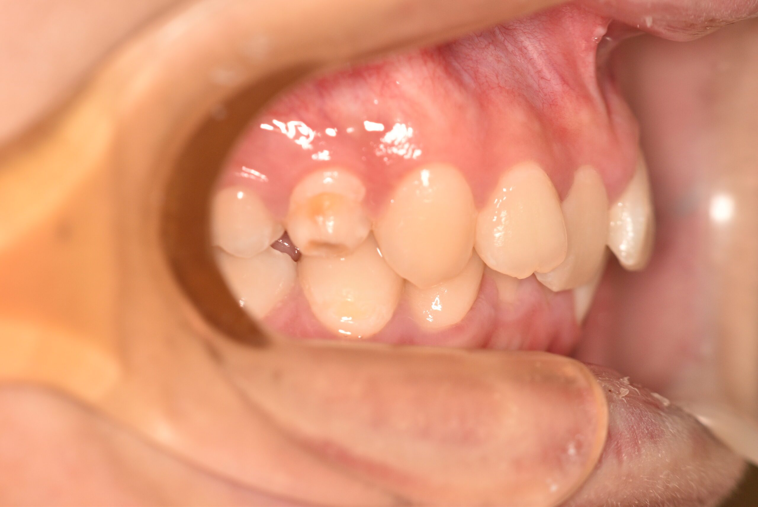
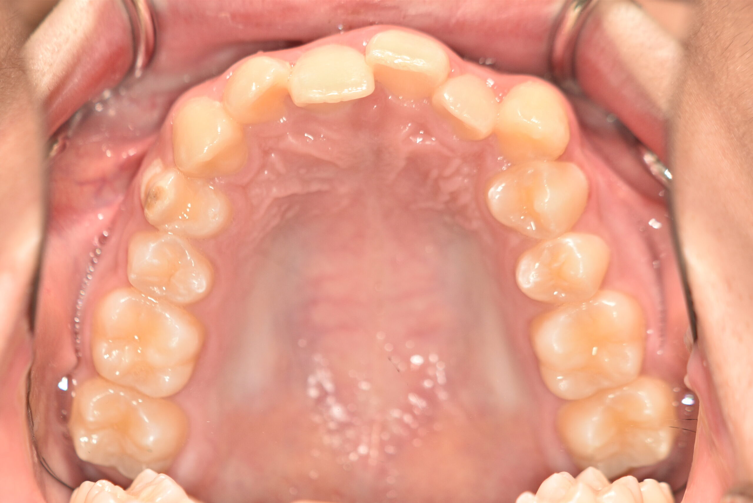
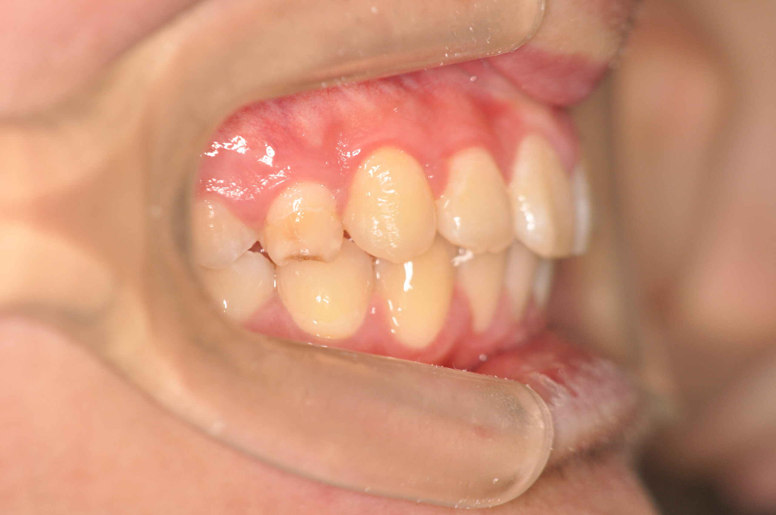
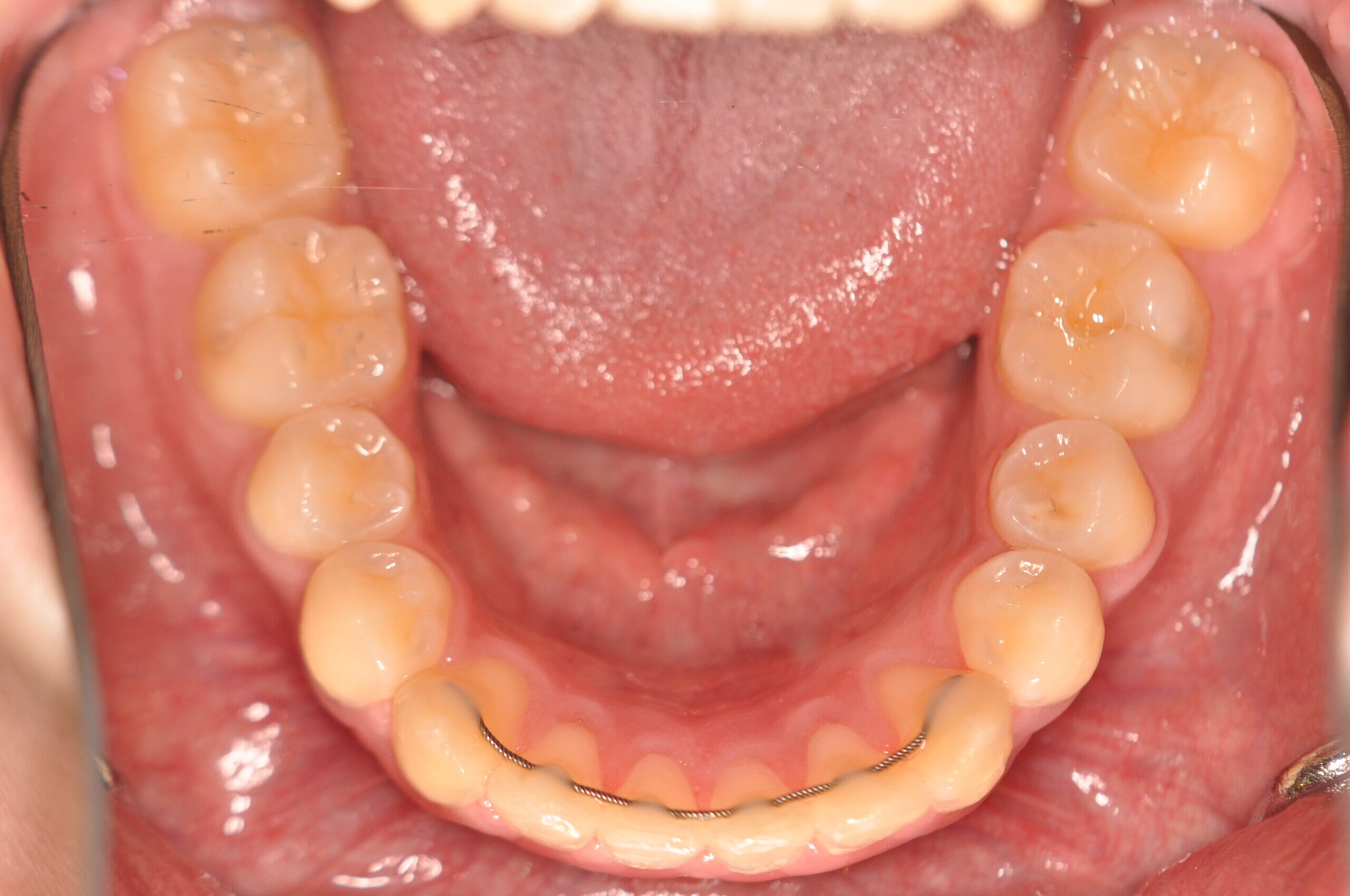
| 治療内容の詳細 | 初診時16歳の男性で、歯のがたつき、かみ合わせを気にされ来院しました。 検査の結果、アングルⅡ級2類不正咬合と診断しました。 治療としては、非抜歯の上、セルフライゲーションブラケット装置(デーモンシステム)で配列を行いました。 同時に顎間ゴムにて咬合関係の改善を行いました。 治療期間は、1年6ヶ月でした。 |
||
患者さんには以下の矯正治療に伴うリスクや
副作用を説明し、ご理解の上で治療を行いました。