電話でのご予約
0596-26-0888
| 初診時 年齢 |
12歳 | 性 別 | 女性 |
|---|---|---|---|
| 治療期間 | 1年5か月 | 費 用 | 矯正施術料:750,000円 調整料:4,000円/月 |
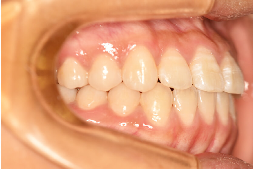
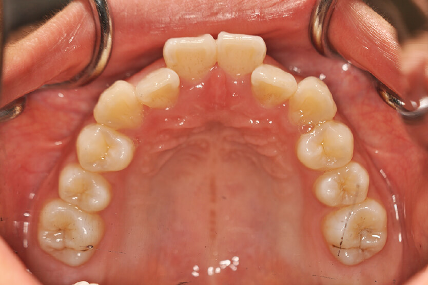
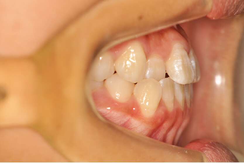
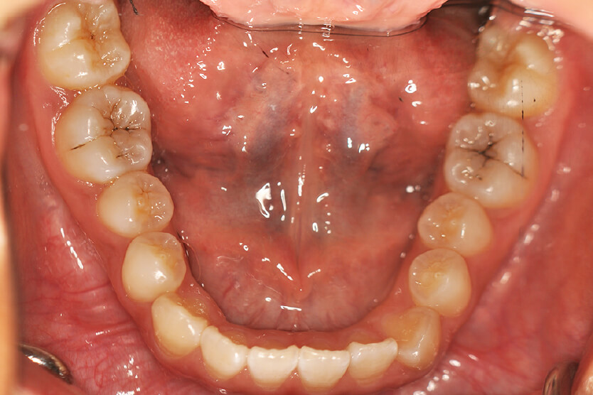
| 治療内容の詳細 | 初診時12歳の女性で、上顎前歯部の反対咬合を気にされ来院されました。 検査の結果、下顎前突、上顎前歯部叢生および上顎側切歯反対咬合を伴うアングルⅢ級不正咬合と診断しました。 治療としては、リンガルアーチを使用して、上顎側切歯を前方へ移動させ、反対咬合の改善を行い、マウスピース型矯正装置(インビザライン)で配列を行いました。 治療期間は1年5か月でした。 |
||
患者さんには以下の矯正治療に伴うリスクや
副作用を説明し、ご理解の上で治療を行いました。