電話でのご予約
0596-26-0888
| 初診時 年齢 |
7歳 | 性 別 | 女性 |
|---|---|---|---|
| 治療期間 | 1年 | 費 用 | 矯正施術料:800,000円 調整料:4,000円/月 |
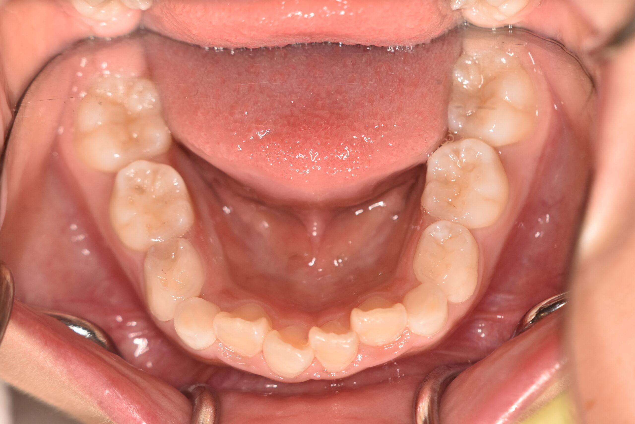
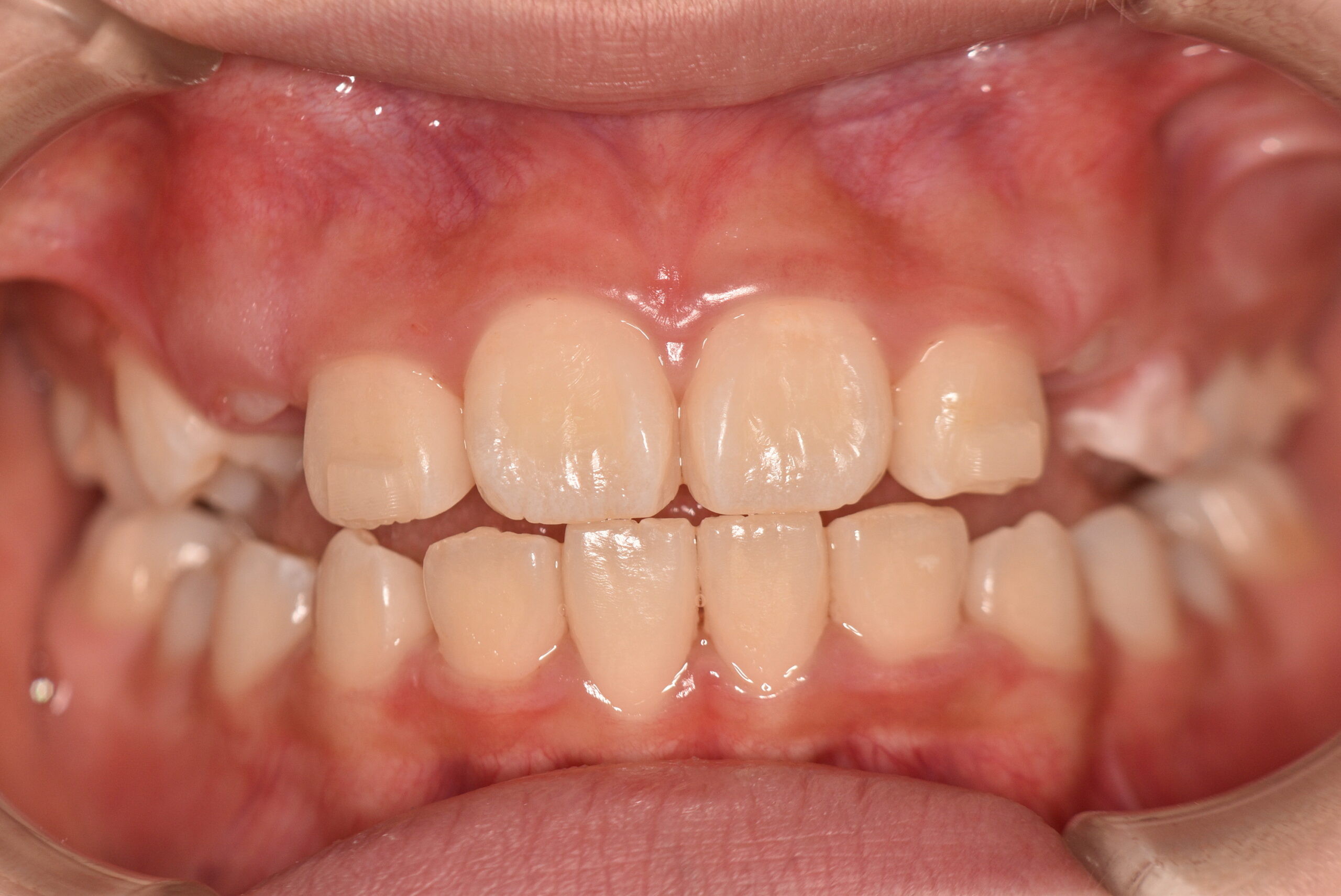
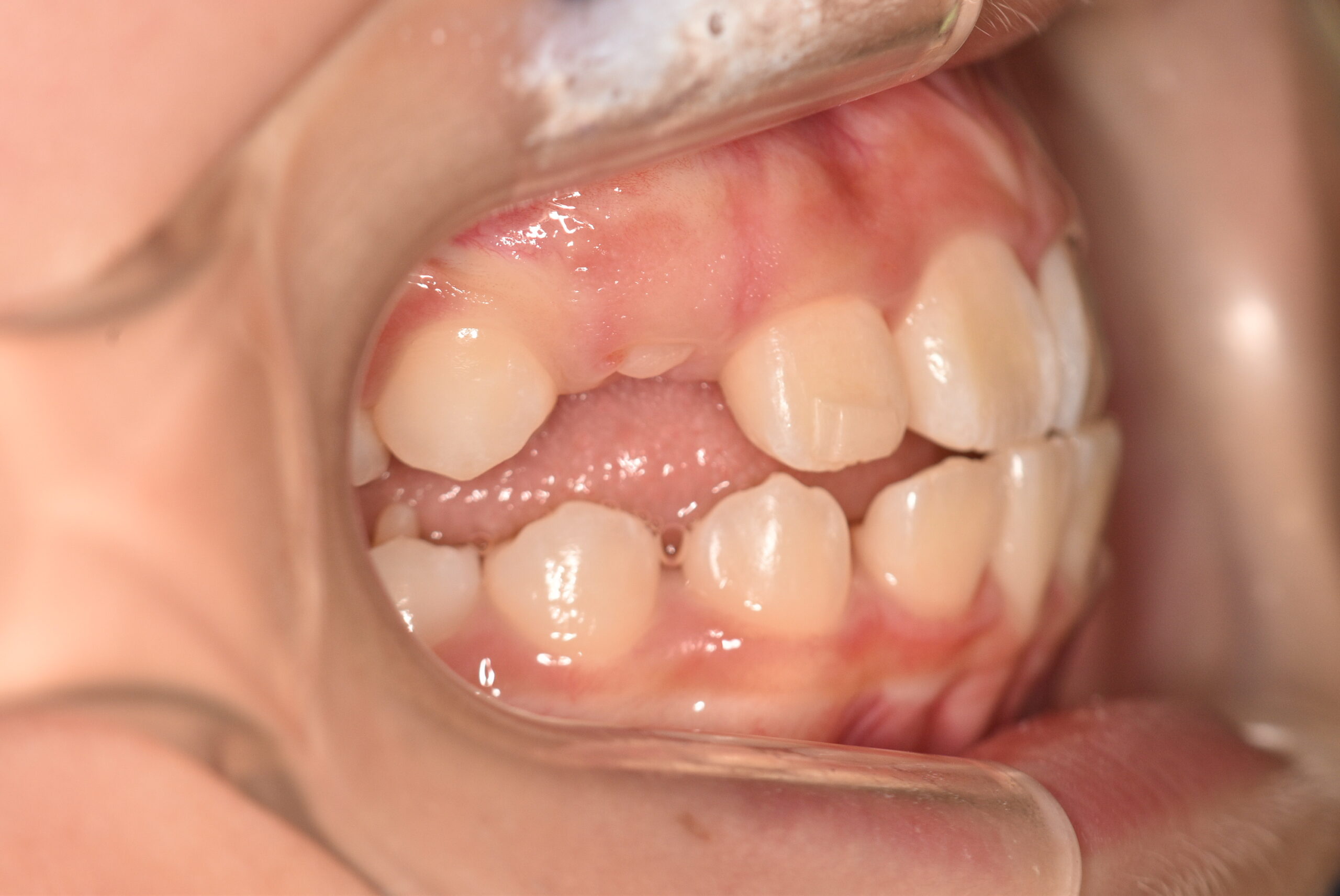
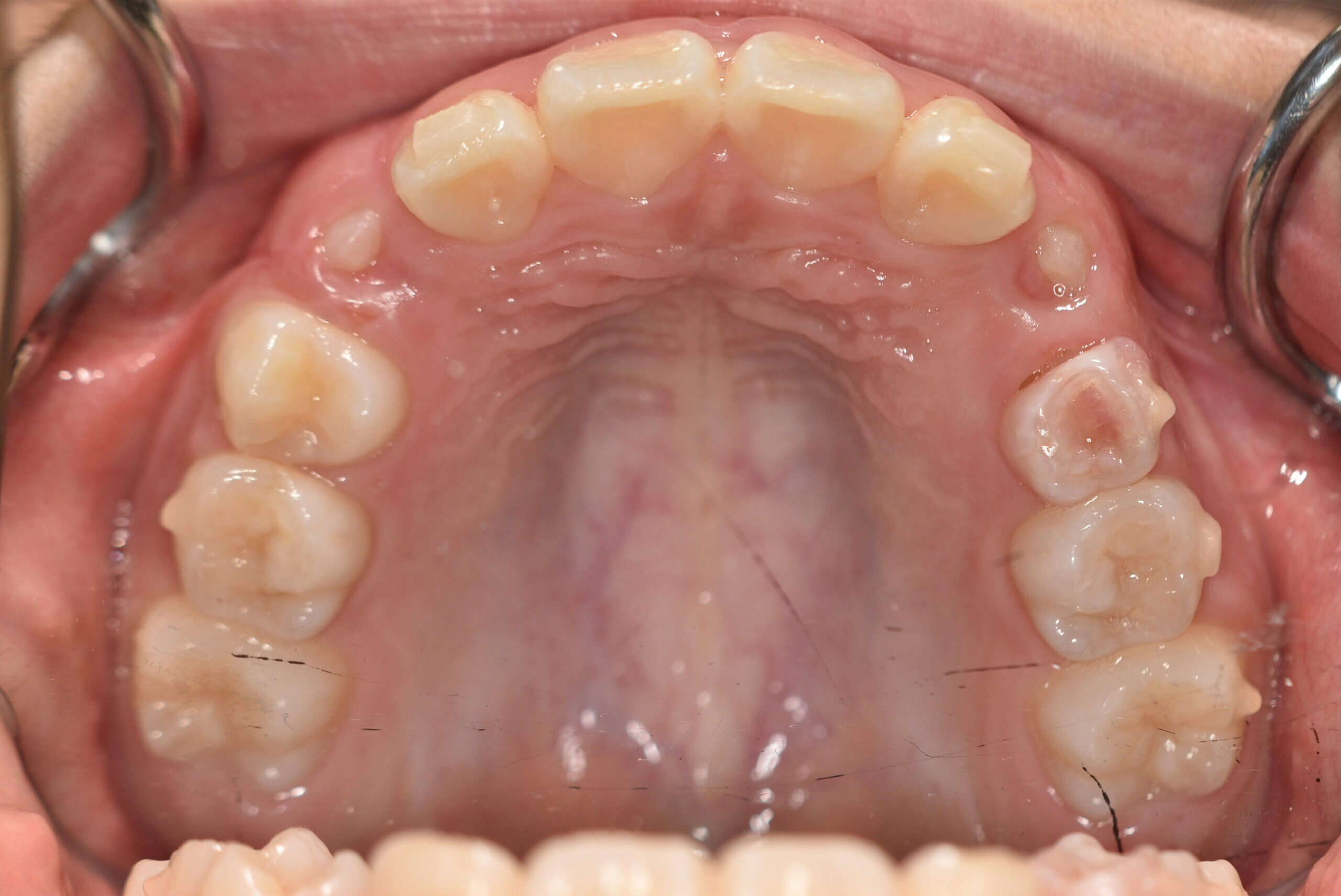
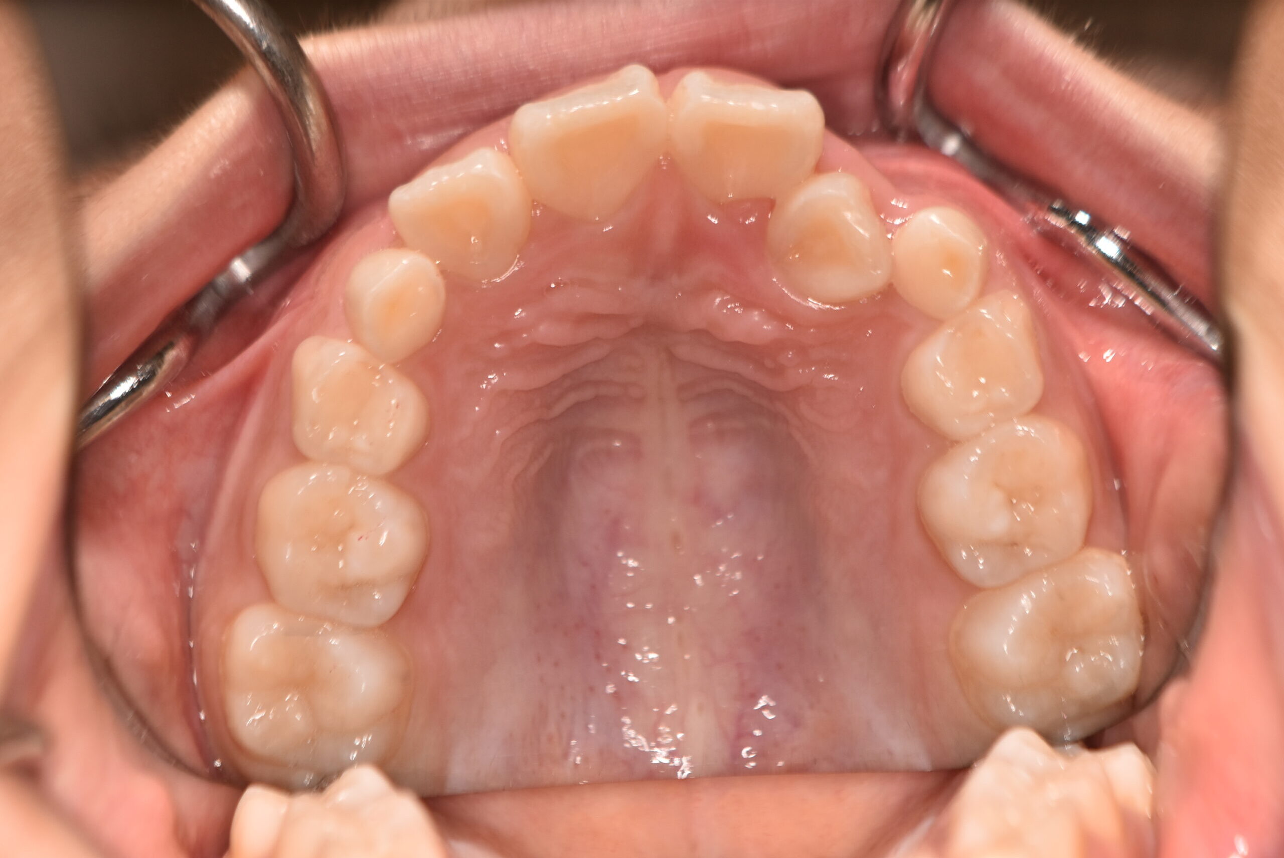
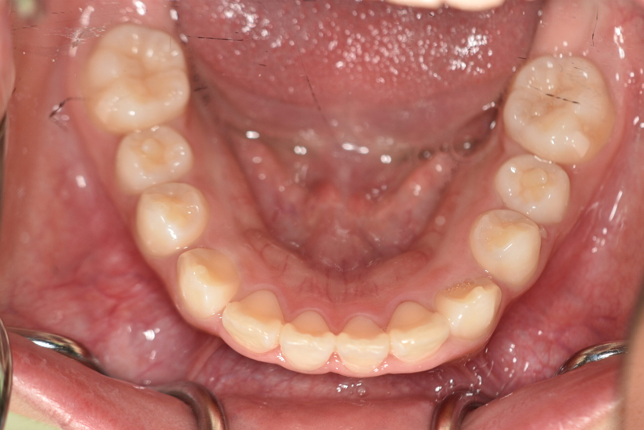
| 治療内容の詳細 | 初診時7歳の女児で、歯のがたつきを気にされ来院されました。 検査の結果、前歯部叢生を伴うアングルⅡ級不正咬合と診断しました。 治療としてはマウスピース矯正(インビザラインファースト)で配列を行い、上下顎の側方拡大と萌出スペースを確保しました。 治療期間は、1年でした。 今後、側方歯生え変わりまで経過観察を行います。 |
||
患者さんには以下の矯正治療に伴うリスクや
副作用を説明し、ご理解の上で治療を行いました。