電話でのご予約

0596-26-0888

治療例CASE

インビザラインファースト 【2724】

初診時

症例 症例 症例 症例

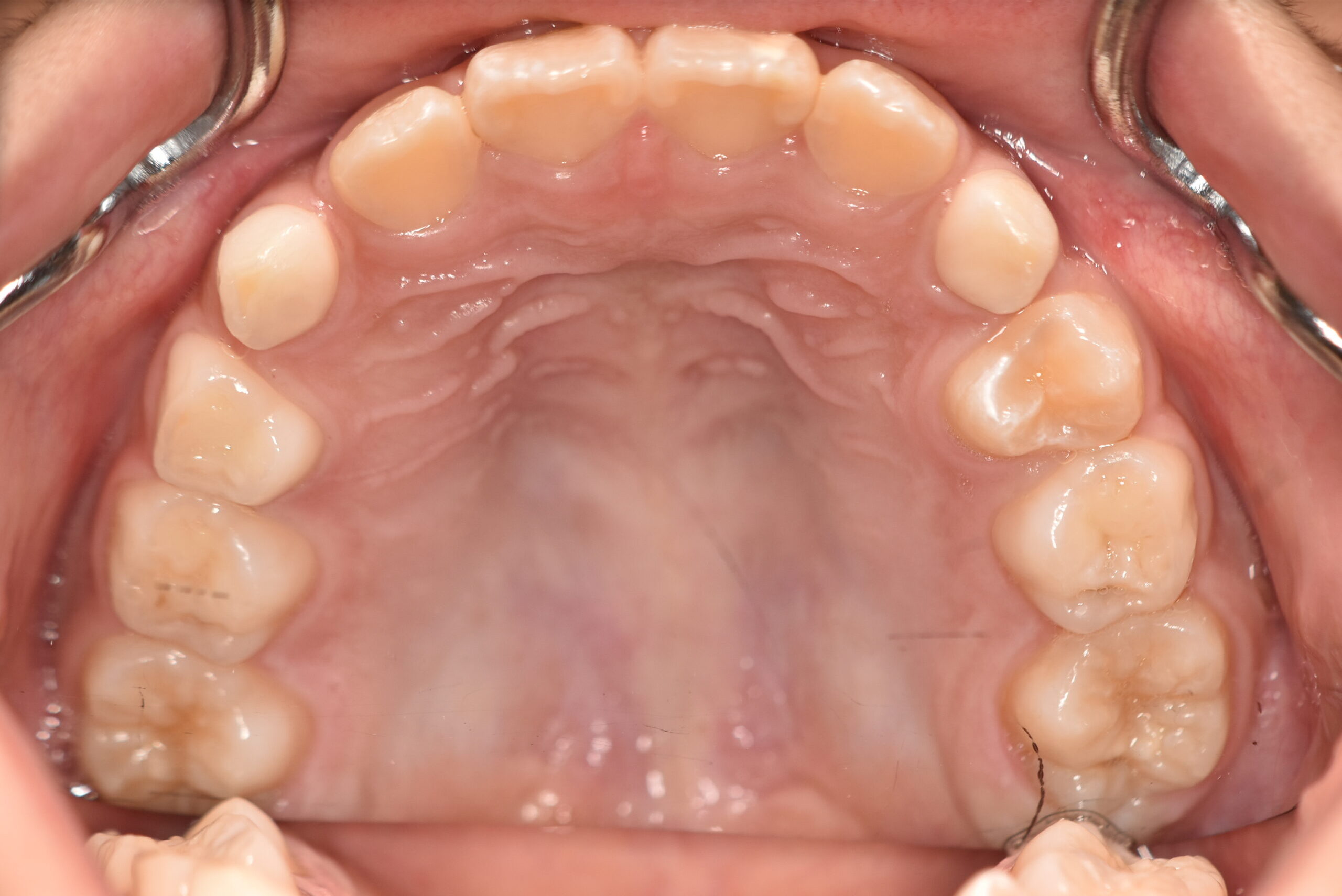
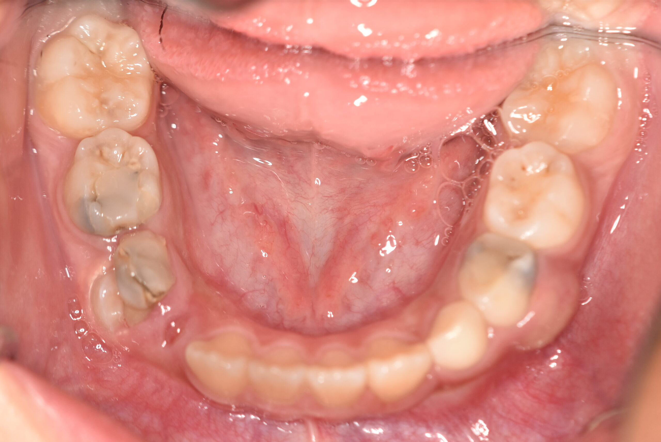
動的治療終了時

症例 症例 症例 症例
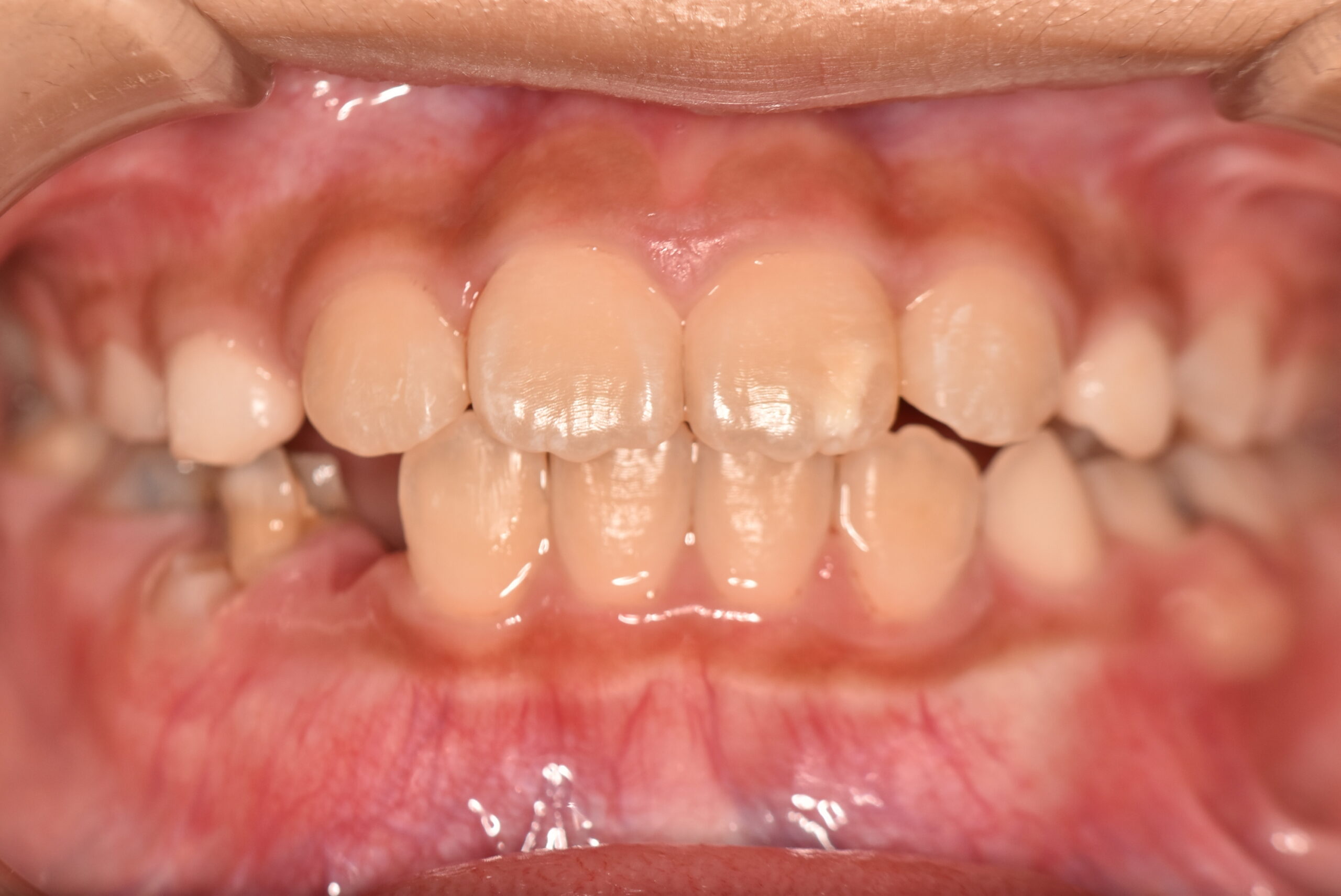
初診時
年齢
8歳 性 別 女性
治療期間 6ヶ月 費 用 矯正施術料:800,000円
調整料:4,000円/月
治療内容の詳細 初診時8歳の女児で、正中のズレを気にされ来院されました。
検査の結果、臼歯部交叉咬合を伴うアングルⅠ級不正咬合と診断しました。
治療としてはマウスピース矯正(インビザラインファースト)で配列を行い、上顎の側方拡大と萌出スペースを確保しました。
治療期間は、6ヶ月でした。
今後、側方歯生え変わりまで経過観察を行います。

治療に伴う一般的な
リスクや副作用について

患者さんには以下の矯正治療に伴うリスクや
副作用を説明し、ご理解の上で治療を行いました。

  • むし歯や歯周病
  • 歯の後戻り(歯ならびが元の位置へ戻ろうとすること)
  • 歯肉の退縮(歯ぐきがさがること)
  • 歯の失活(歯の神経が死んでしまうこと)
  • 歯根吸収(歯の根が短くなること)
  • 顎関節症 など

top

初診相談の予約
MAILでのお問合わせ